• Tel: 858.663.9055
  • SeparatorEmail: info@nsjbio.com
  • Tel: 858.663.9055
  • Email: info@nsjbio.com
Home >> Antibodies >> Phospho-AKT1 Antibody (pT450)

Phospho-AKT1 Antibody (pT450) [clone HEA-1] (RQ8829)

  Catalog No Formulation Size Price (USD)  
Image RQ8829 Antibody in PBS with 0.02% sodium azide, 50% glycerol and 0.4-0.5mg/ml BSA 100 ul 439
Microvalidated Recrabbitmono
Bulk quote request
Immunofluorescent staining of FFPE human A549 cells with Phospho-AKT1 Antibody (green) and Beta Actin antibody (red). HIER: steam section in pH6 citrate buffer for 20 min.
IHC staining of FFPE human intestinal diffuse large B-cell lymphoma tissue with Phospho-AKT1 Antibody. HIER: boil tissue sections in pH8 EDTA for 20 min and allow to cool before testing.
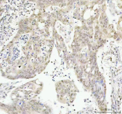
IHC staining of FFPE human lung adenocarcinoma tissue with Phospho-AKT1 Antibody. HIER: boil tissue sections in pH8 EDTA for 20 min and allow to cool before testing.
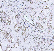
IHC staining of FFPE human prostate cancer tissue with Phospho-AKT1 Antibody. HIER: boil tissue sections in pH8 EDTA for 20 min and allow to cool before testing.
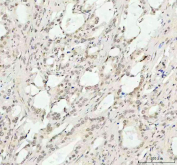
IHC staining of FFPE human colorectal adenocarcinoma tissue with Phospho-AKT1 Antibody. HIER: boil tissue sections in pH8 EDTA for 20 min and allow to cool before testing.
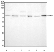
Western blot testing of 1) human HeLa, 2) human MCF7, 3) rat brain, 4) rat PC-12, 5) mouse brain and 6) mouse NIH 3T3 cell lysate with Phospho-AKT1 Antibody.
Availability 1-3 days
Species Reactivity Human, Mouse, Rat
Format Purified
Clonality Recombinant Rabbit Monoclonal
Isotype Rabbit IgG
Clone Name HEA-1
Localization Nucleus, plasma membrane, cytoplasm
Applications Western Blot : 1:500-1:2000
Immunohistochemistry (FFPE) : 1:50-1:200
Immunofluorescence : 1:50-1:200
Limitations This Phospho-AKT1 Antibody is available for research use only.
Review this product on BioCompare and get a $20 Amazon gift card

Related Products

  • Applications : IHC-P, WB
    Reactivity : Human
    Recmousemono
  • Applications : WB, ELISA
    Reactivity : Human
    Recrabbitmono
  • Applications : IHC-P, WB
    Reactivity : Human
    Microvalidated
  • Applications : WB, IHC-P
    Reactivity : Human
    Microvalidated
  • Applications : WB, IHC-P
    Reactivity : Human, Mouse
    Microvalidated
  • Applications : WB
    Reactivity : Human, Mouse, Rat, Chicken
  • Applications : WB, ELISA
    Reactivity : Human
    Pred. Reactivity : Bovine, Mouse, Rat
  • Applications : IHC-P
    Reactivity : Human
  • Applications : WB, DB, ELISA
    Reactivity : Human
  • Applications : IHC, FACS, WB, ELISA
    Reactivity : Human
    Pred. Reactivity : Bovine, Mouse, Rat, Xenopus
  • Applications : IF, FACS, WB, IHC, ELISA
    Reactivity : Human, Mouse
    Pred. Reactivity : Bovine, Rat
  • Applications : WB, IHC, ELISA
    Reactivity : Mouse
    Pred. Reactivity : Human
  • Applications : WB, FACS, ELISA
    Reactivity : Human
    Pred. Reactivity : Mouse, Rat
  • Applications : IHC, WB, IF, FACS, ELISA
    Reactivity : Human
    Pred. Reactivity : Mouse, Bovine
  • Applications : WB, IF, FACS, ELISA
    Reactivity : Human
    Pred. Reactivity : Bovine, Mouse, Rat
  • Applications : WB, ELISA
    Reactivity : Human
    Pred. Reactivity : Mouse, Rat

Description

One of the key functions of phosphorylated AKT1 is its role in promoting cell survival. By activating various downstream signaling pathways, phosphorylated AKT1 can inhibit apoptosis (programmed cell death) and promote cell proliferation. This makes it a critical player in the maintenance of tissue homeostasis and the prevention of diseases such as cancer. Additionally, phosphorylated AKT1 is involved in the regulation of metabolism. By activating key enzymes and transporters, this modified protein can help to coordinate processes such as glucose uptake and lipid synthesis. This metabolic regulation is essential for the proper functioning of cells and tissues throughout the body. Intriguingly, research has also suggested that phosphorylated AKT1 may play a role in neuroprotection and cognitive function. By influencing synaptic plasticity and neuronal survival, this protein could have far-reaching implications for the treatment of neurological disorders and age-related cognitive decline.

Application Notes

Optimal dilution of the Phospho-AKT1 Antibody should be determined by the researcher.

Immunogen

A synthetic peptide specific to the region of human AKT1 protein surrounding phosphorylated threonine 450 was used as the immunogen for the Phospho-AKT1 Antibody.

Storage

Store the Phospho-AKT1 antibody at -20oC.

Cross
Bulk Quote Request Form
Name*:
Organization*:
Email*:
Phone Number*:
Catalog No.*:
Comments and Specifics(amount, formulation, etc.)*:
Validation code: Captchapackage Image


Can't read the image? click here to refresh.
    *required field

Your bulk quote request has been submitted successfully!

Please contact us if you have any questions.