• Tel: 858.663.9055
  • SeparatorEmail: info@nsjbio.com
  • Tel: 858.663.9055
  • Email: info@nsjbio.com
Home >> Antibodies >> Phorbolin 1 Antibody / APOBEC3A

Phorbolin 1 Antibody / APOBEC3A (F55087)

  Catalog No Formulation Size Price (USD)  
Image F55087-0.2ML In 1X PBS, pH 7.4, with 0.09% sodium azide 0.2 ml 429
Image
F55087-0.05ML In 1X PBS, pH 7.4, with 0.09% sodium azide 0.05 ml 199
Bulk quote request
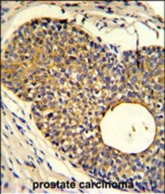
IHC staining of FFPE human prostate carcinoma tissue with Phorbolin 1 antibody. HIER: steam section in pH6 citrate buffer for 20 min and allow to cool prior to staining.
Western blot testing of human 1) Jurkat and 2) Raji cell lysate with Phorbolin 1 antibody. Predicted molecular weight ~23 kDa.
Availability 1-3 business days
Species Reactivity Human
Format Purified
Clonality Polyclonal (rabbit origin)
Isotype Rabbit Ig
UniProt P31941
Localization Nuclear, cytoplasmic
Applications Western Blot : 1:1000-1:2000
Immunohistochemistry (FFPE) : 1:50-1:100
Limitations This Phorbolin 1 antibody is available for research use only.
Review this product on BioCompare and get a $20 Amazon gift card

Related Products

Description

Phorbolin 1/PHO1/APOBEC3A/Apolipoprotein B mRNA Editing Enzyme, Catalytic Polypeptide-Like 3A is part of a family of enzymes that are involved in the editing of RNA and DNA molecules. Phorbolin 1/APOBEC3A specifically acts as a barrier to prevent the replication of viral DNA within cells, making it a crucial component of the innate immune system. It also plays a pivotal role in preventing the development of certain cancers. Studies have shown that this protein can inhibit the growth of cancer cells by inducing mutations in their genetic material.

Application Notes

The stated application concentrations are suggested starting points. Titration of the Phorbolin 1 antibody may be required due to differences in protocols and secondary/substrate sensitivity.

Immunogen

A portion of amino acids 1-30 from the human protein was used as the immunogen for the Phorbolin 1 antibody.

Storage

Aliquot the Phorbolin 1 antibody and store frozen at -20oC or colder. Avoid repeated freeze-thaw cycles.

Cross
Bulk Quote Request Form
Name*:
Organization*:
Email*:
Phone Number*:
Catalog No.*:
Comments and Specifics(amount, formulation, etc.)*:
Validation code: Captchapackage Image


Can't read the image? click here to refresh.
    *required field

Your bulk quote request has been submitted successfully!

Please contact us if you have any questions.