• Tel: 858.663.9055
  • SeparatorEmail: info@nsjbio.com
  • Tel: 858.663.9055
  • Email: info@nsjbio.com
Home >> Antibodies >> PHGDH Antibody

PHGDH Antibody (F48339)

  Catalog No Formulation Size Price (USD)  
Image F48339-0.4ML In 1X PBS, pH 7.4, with 0.09% sodium azide 0.4 ml 429
Image
F48339-0.08ML In 1X PBS, pH 7.4, with 0.09% sodium azide 0.08 ml 199
Bulk quote request
PHGDH antibody western blot analysis in Ramos lysate. Predicted molecular weight ~56 kDa.
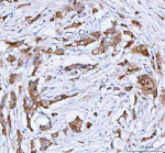
PHGDH antibody immunohistochemistry analysis in formalin fixed and paraffin embedded human hepatocarcinoma.
PHGDH antibody flow cytometric analysis of Ramos cells (green) compared to a negative control (blue). FITC-conjugated goat-anti-rabbit secondary Ab was used for the analysis.
Availability 1-3 business days
Species Reactivity Human
Predicted Reactivity Mouse, Primate, Rat
Format Antigen affinity purified
Clonality Polyclonal (rabbit origin)
Isotype Rabbit Ig
Purity Antigen affinity
UniProt O43175
Applications Western Blot : 1:1000
IHC (Paraffin) : 1:50-1:100
Flow Cytometry : 1:10-1:50
Limitations This PHGDH antibody is available for research use only.
Review this product on BioCompare and get a $20 Amazon gift card

Related Products

Description

3-Phosphoglycerate dehydrogenase (PHGDH) catalyzes the transition of 3-phosphoglycerate into 3-phosphohydroxypyruvate, which is the first and rate-limiting step in the phosphorylated pathway of serine biosynthesis, using NAD+/NADH as a cofactor.

Application Notes

Titration of the PHGDH antibody may be required due to differences in protocols and secondary/substrate sensitivity.

Immunogen

A portion of amino acids 249-277 from the human protein was used as the immunogen for this PHGDH antibody.

Storage

Aliquot the PHGDH antibody and store frozen at -20oC or colder. Avoid repeated freeze-thaw cycles.

Cross
Bulk Quote Request Form
Name*:
Organization*:
Email*:
Phone Number*:
Catalog No.*:
Comments and Specifics(amount, formulation, etc.)*:
Validation code: Captchapackage Image


Can't read the image? click here to refresh.
    *required field

Your bulk quote request has been submitted successfully!

Please contact us if you have any questions.