• Tel: 858.663.9055
  • SeparatorEmail: info@nsjbio.com
  • Tel: 858.663.9055
  • Email: info@nsjbio.com
Home >> Antibodies >> PHF8 Antibody / PHD finger protein 8

PHF8 Antibody / PHD finger protein 8 [clone ADAI-16] (RQ8907)

  Catalog No Formulation Size Price (USD)  
Image RQ8907 Antibody in PBS with 0.02% sodium azide, 50% glycerol and 0.4-0.5mg/ml BSA 100 ul 439
Microvalidated Recrabbitmono
Bulk quote request
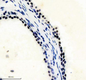
IHC staining of FFPE human stomach cancer tissue with PHF8 antibody, HRP-secondary and DAB substrate. HIER: boil tissue sections in pH8 EDTA for 20 min and allow to cool before testing.
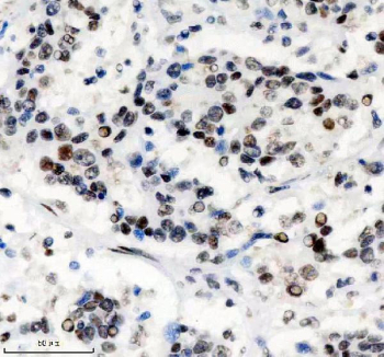
IHC staining of FFPE human prostate cancer tissue with PHF8 antibody, HRP-secondary and DAB substrate. HIER: boil tissue sections in pH8 EDTA for 20 min and allow to cool before testing.
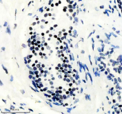
IHC staining of FFPE human prostate cancer tissue with PHF8 antibody, HRP-secondary and DAB substrate. HIER: boil tissue sections in pH8 EDTA for 20 min and allow to cool before testing.
Western blot testing of 1) human SiHa, 2) human 293T, 3) human HepG2, 4) rat testis, 5) rat PC-12, 6) mouse testis and 7) mouse NIH 3T3 cell lysate with PHF8 antibody. Western blot using a different anti-PHF8 antibody reveals a doublet at ~140 kDa, representing distinct phosphorylated states of PHF8 that account for its slower migration relative to the predicted ~118 kDa size.
Availability 1-3 days
Species Reactivity Human, Mouse, Rat
Format Purified
Clonality Recombinant Rabbit Monoclonal
Isotype Rabbit IgG
Clone Name ADAI-16
Purity Affinity chromatography
UniProt Q9UPP1
Localization Nuclear
Applications Western Blot : 1:500
Immunohistochemistry (FFPE) : 1:50
Limitations This PHF8 antibody is available for research use only.
Review this product on BioCompare and get a $20 Amazon gift card

Related Products

Description

PHD finger protein 8 (PHF8) is a histone demethylase that specifically removes methyl groups from lysine residues on histone H3, including H3K9me2 and H3K27me2. By altering chromatin structure, PHF8 regulates transcriptional activation and repression, influencing processes such as cell cycle progression, neuronal development, and differentiation.

PHF8 contains a PHD finger domain that recognizes specific histone modifications, allowing it to target distinct genomic loci. Mutations in PHF8 have been associated with X-linked intellectual disability and craniofacial anomalies. Research on PHF8 provides valuable insights into epigenetic regulation, development, and disease mechanisms.

Using a high-quality PHF8 antibody enables precise detection in applications such as western blot, immunohistochemistry, and chromatin immunoprecipitation. A PHF8 antibody from NSJ Bioreagents ensures reproducibility and sensitivity for studies in epigenetics, transcriptional regulation, and developmental biology. Selecting the right PHF8 antibody is essential for generating consistent and meaningful results.

Application Notes

Optimal dilution of the PHF8 antibody should be determined by the researcher.

Immunogen

A peptide sequence specific to PHD finger protein 8 protein was used as the immunogen for the PHF8 antibody.

Storage

After reconstitution, the PHF8 antibody can be stored for up to one month at 4oC. For long-term, aliquot and store at -20oC. Avoid repeated freezing and thawing.

Cross
Bulk Quote Request Form
Name*:
Organization*:
Email*:
Phone Number*:
Catalog No.*:
Comments and Specifics(amount, formulation, etc.)*:
Validation code: Captchapackage Image


Can't read the image? click here to refresh.
    *required field

Your bulk quote request has been submitted successfully!

Please contact us if you have any questions.