• Tel: 858.663.9055
  • SeparatorEmail: info@nsjbio.com
  • Tel: 858.663.9055
  • Email: info@nsjbio.com
Home >> Antibodies >> PHF10 Antibody

PHF10 Antibody [clone PCRP-PHF10-2A10] (V9695)

  Catalog No Formulation Size Price (USD)  
Image V9695-100UG 0.2 mg/ml in 1X PBS with 0.1 mg/ml BSA (US sourced), 0.05% sodium azide 100 ug 539
Image
V9695-20UG 0.2 mg/ml in 1X PBS with 0.1 mg/ml BSA (US sourced), 0.05% sodium azide 20 ug 249
Image
V9695SAF-100UG 1 mg/ml in 1X PBS; BSA free, sodium azide free 100 ug 539
Microvalidated
Bulk quote request
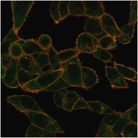
Immunofluorescent staining of PFA-fixed human HeLa cells using PHF10 antibody (green, clone PCRP-PHF10-2A10) and phalloidin (red).
FACS staining of PFA-fixed human HeLa cells with PHF10 antibody (blue, clone PCRP-PHF10-2A10) and isotype control (red).
SDS-PAGE analysis of purified, BSA-free PHF10 antibody (clone PCRP-PHF10-2A10) as confirmation of integrity and purity.
Analysis of HuProt(TM) microarray containing more than 19,000 full-length human proteins using PHF10 antibody (clone PCRP-PHF10-2A10). These results demonstrate the foremost specificity of the PCRP-PHF10-2A10 mAb. Z- and S- score: The Z-score represents the strength of a signal that an antibody (in combination with a fluorescently-tagged anti-IgG secondary Ab) produces when binding to a particular protein on the HuProt(TM) array. Z-scores are described in units of standard deviations (SD's) above the mean value of all signals generated on that array. If the targets on the HuProt(TM) are arranged in descending order of the Z-score, the S-score is the difference (also in units of SD's) between the Z-scores. The S-score therefore represents the relative target specificity of an Ab to its intended target.
Availability 1-3 business days
Species Reactivity Human
Format Purified
Clonality Monoclonal (mouse origin)
Isotype Mouse IgG2a
Clone Name PCRP-PHF10-2A10
Purity Protein A/G affinity
UniProt Q8WUB8
Localization Nucleus
Applications ELISA (order BSA-free Format For Coating) :
Flow Cytometry : 1-2ug/million cells
Immunofluorescence : 1-2ug/ml
Western Blot : 1-2ug/ml
Limitations This PHF10 antibody is available for research use only.
Review this product on BioCompare and get a $20 Amazon gift card

Related Products

Description

This gene contains a predicted ORF that encodes a protein with two zinc finger domains. The function of the encoded protein is not known. Sequence analysis suggests that multiple alternatively spliced transcript variants are derived from this gene but the full-length nature of only two of them is known. These two splice variants encode different isoforms. A pseudogene for this gene is located on Xq28.

Application Notes

Optimal dilution of the PHF10 antibody should be determined by the researcher.

Immunogen

Recombinant full-length human PHF10 protein was used as the immunogen for the PHF10 antibody.

Storage

Aliquot the PHF10 antibody and store frozen at -20oC or colder. Avoid repeated freeze-thaw cycles.

Cross
Bulk Quote Request Form
Name*:
Organization*:
Email*:
Phone Number*:
Catalog No.*:
Comments and Specifics(amount, formulation, etc.)*:
Validation code: Captchapackage Image


Can't read the image? click here to refresh.
    *required field

Your bulk quote request has been submitted successfully!

Please contact us if you have any questions.