• Tel: 858.663.9055
  • SeparatorEmail: info@nsjbio.com
  • Tel: 858.663.9055
  • Email: info@nsjbio.com
Home >> Antibodies >> PHB2 Antibody / Prohibitin 2

PHB2 Antibody / Prohibitin 2 (RQ5750)

  Catalog No Formulation Size Price (USD)  
Image RQ5750 0.5mg/ml if reconstituted with 0.2ml sterile DI water 100 ug 439
Bulk quote request
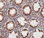
IHC staining of FFPE human rectal cancer with PHB2 antibody. HIER: boil tissue sections in pH8 EDTA for 20 min and allow to cool before testing.
IHC staining of FFPE human breast cancer with PHB2 antibody. HIER: boil tissue sections in pH8 EDTA for 20 min and allow to cool before testing.
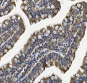
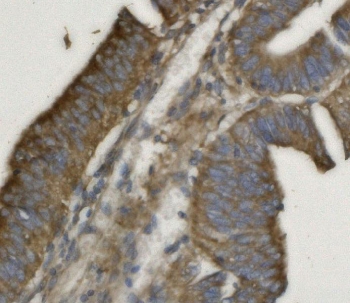
IHC staining of FFPE mouse intestine with PHB2 antibody. HIER: boil tissue sections in pH8 EDTA for 20 min and allow to cool before testing.
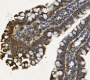
IHC staining of FFPE rat intestine with PHB2 antibody. HIER: boil tissue sections in pH8 EDTA for 20 min and allow to cool before testing.
Immunofluorescent staining of FFPE human A431 cells with PHB2 antibody (green) and DAPI nuclear stain (blue). HIER: steam section in pH6 citrate buffer for 20 min.
Western blot testing of human 1) HeLa, 2) Jurkat, 3) HEK293, 4) K562, 5) HT1080, 6) SW620, 7) U-87 MG and 8) A549 lysate with PHB2 antibody. Predicted molecular weight: ~33 kDa.
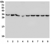
Western blot testing of rat 1) brain, 2) heart, 3) liver, 4) PC-12 and mouse 5) brain, 6) heart, 7) liver, 8) NIH 3T3 and 9) RAW264.7 lysate with PHB2 antibody. Predicted molecular weight: ~33 kDa.
Flow cytometry testing of human HL-60 cells with PHB2 antibody at 1ug/million cells (blocked with goat sera); Red=cells alone, Green=isotype control, Blue= PHB2 antibody.
Availability 1-3 business days
Species Reactivity Human, Mouse, Rat
Format Antigen affinity purified
Clonality Polyclonal (rabbit origin)
Isotype Rabbit IgG
Purity Affinity purified
Buffer Lyophilized from 1X PBS with 2% Trehalose and 0.025% sodium azide
UniProt Q99623
Applications Western Blot : 0.5-1ug/ml
Immunohistochemistry : 1-2ug/ml
Immunofluorescence : 2-4ug/ml
Flow Cytometry : 1-3ug/million cells
Direct ELISA : 0.1-0.5ug/ml
Limitations This PHB2 antibody is available for research use only.
Review this product on BioCompare and get a $20 Amazon gift card

Related Products

Description

PHB2 (Prohibitin 2), also called Repressor of Estrogen Receptor Activity (REA), is a protein that in humans is encoded by the PHB2 gene. The International Radiation Hybrid Mapping Consortium mapped the PHB2 gene to chromosome 12. Montano et al.(1999) showed that REA enhanced the potency of a dominant-negative ER-alpha mutant and antiestrogens as suppressors of ER-alpha activity in Chinese hamster ovary cells. When coexpressed with wildtype ER-alpha or ER-beta(ESR2), REA suppressed activation of a reporter gene in a dose-dependent manner. REA had no effect on reporter activity in the absence of liganded ER, and it had no effect on the transcriptional activities of other hormone receptors. Mutation analysis showed that an N-terminal domain and a central domain of REA were required for its repressor activity.

Application Notes

Optimal dilution of the PHB2 antibody should be determined by the researcher.

Immunogen

Recombinant human protein (amino acids M1-K299) was used as the immunogen for the PHB2 antibody.

Storage

After reconstitution, the PHB2 antibody can be stored for up to one month at 4oC. For long-term, aliquot and store at -20oC. Avoid repeated freezing and thawing.

Cross
Bulk Quote Request Form
Name*:
Organization*:
Email*:
Phone Number*:
Catalog No.*:
Comments and Specifics(amount, formulation, etc.)*:
Validation code: Captchapackage Image


Can't read the image? click here to refresh.
    *required field

Your bulk quote request has been submitted successfully!

Please contact us if you have any questions.