• Tel: 858.663.9055
  • SeparatorEmail: info@nsjbio.com
  • Tel: 858.663.9055
  • Email: info@nsjbio.com
Home >> Antibodies >> PGP9.5 Antibody / UchL1

PGP9.5 Antibody / UchL1 [clone 3E4.] (RQ6534)

  Catalog No Formulation Size Price (USD)  
Image RQ6534 0.5mg/ml if reconstituted with 0.2ml sterile DI water 100 ug 439
Bulk quote request
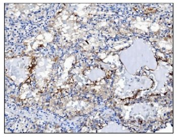
IHC staining of FFPE human renal clear cell carcinoma tissue with PGP9.5 antibody. HIER: boil tissue sections in pH8 EDTA for 20 min and allow to cool before testing.
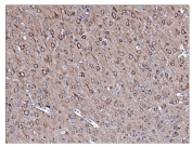
IHC staining of FFPE rat brain tissue with PGP9.5 antibody. HIER: boil tissue sections in pH8 EDTA for 20 min and allow to cool before testing.
Western blot testing of 1) human U-87 MG, 2) human SH-SY5Y, 3) rat brain and 4) mouse brain lysate with PGP9.5 antibody. Predicted molecular weight ~25 kDa.
Flow cytometry testing of human 293T cells with PGP9.5 antibody at 1ug/million cells (blocked with goat sera); Red=cells alone, Green=isotype control, Blue= PGP9.5 antibody.
Availability 1-3 business days
Species Reactivity Human, Mouse, Rat
Format Antigen affinity purified
Clonality Monoclonal (mouse origin)
Isotype Mouse IgG1
Clone Name 3E4.
Purity Affinity purified
Buffer Lyophilized from 1X PBS with 2% Trehalose
UniProt P09936
Localization Cytoplasmic, ER membrane
Applications Western Blot : 1-2ug/ml
Immunohistochemistry (FFPE) : 2-5ug/ml
Flow Cytometry : 1-3ug/million cells
Limitations This PGP9.5 antibody is available for research use only.
Review this product on BioCompare and get a $20 Amazon gift card

Related Products

Description

UCH-L1, also known as PGP9.5, is a member of a gene family whose products hydrolyze small C-terminal adducts of ubiquitin to generate the ubiquitin monomer. Expression of UCH-L1 is highly specific to neurons and to cells of the diffuse neuroendocrine system and their tumors. It is abundantly present in all neurons (accounts for 1-2% of total brain protein), expressed specifically in neurons and testis/ovary. The catalytic triad of UCH-L1 contains a cysteine at position 90, an aspartate at position 176, and a histidine at position 161 that are responsible for its hydrolase activity.

Application Notes

Optimal dilution of the PGP9.5 antibody should be determined by the researcher.

Immunogen

Amino acids 120-153 (ETEKMSPEDRAKCFEKNEAIQAAHDAVAQEGQCR) were used as the immunogen for the PGP9.5 antibody.

Storage

After reconstitution, the PGP9.5 antibody can be stored for up to one month at 4oC. For long-term, aliquot and store at -20oC. Avoid repeated freezing and thawing.

Cross
Bulk Quote Request Form
Name*:
Organization*:
Email*:
Phone Number*:
Catalog No.*:
Comments and Specifics(amount, formulation, etc.)*:
Validation code: Captchapackage Image


Can't read the image? click here to refresh.
    *required field

Your bulk quote request has been submitted successfully!

Please contact us if you have any questions.