- Tel: 858.663.9055
- 
									 Email: info@nsjbio.com Email: info@nsjbio.com
- Tel: 858.663.9055
- Email: info@nsjbio.com
 Email: info@nsjbio.com
Email: info@nsjbio.com
								Related Products
| 
 | 
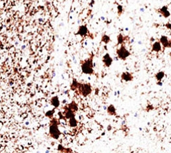
PGP9.5 antibody clone 31A3 is a monoclonal antibody specific for protein gene product 9.5, also known as ubiquitin carboxyl-terminal hydrolase L1. PGP9.5 is a neuron-specific protein with dual roles as a ubiquitin hydrolase and ligase, contributing to protein turnover and cellular homeostasis. It is abundantly expressed in neurons and neuroendocrine cells, making it a highly sensitive and specific marker for nervous system studies. NSJ Bioreagents provides PGP9.5 antibody clone 31A3 for use in neuroscience, developmental biology, and neuropathology.
PGP9.5 antibody clone 31A3 produces strong cytoplasmic and nuclear staining in neuronal populations throughout the central and peripheral nervous systems. It is commonly used to map neuronal networks, trace axonal pathways, and characterize neuroendocrine tissues. In neuropathology, clone 31A3 serves as a gold standard marker for identifying neurons in tissue sections, especially in cases where other neuronal markers may be less robust.
In disease research, PGP9.5 antibody clone 31A3 has been applied to studies of neurodegeneration. Altered expression of PGP9.5 has been linked to Parkinson disease, Alzheimer disease, and amyotrophic lateral sclerosis, where its detection provides insight into neuronal survival and protein degradation pathways. The antibody has also been used in peripheral neuropathy studies, where reduced or abnormal staining correlates with axonal damage.
Beyond neurodegeneration, PGP9.5 antibody clone 31A3 is employed in oncology as a marker of neuroendocrine tumors. It reliably stains small cell lung carcinoma, pheochromocytomas, and paragangliomas, confirming neuroendocrine differentiation. Researchers also use this antibody to study tumorigenesis and protein metabolism in cancer biology.
Technically, PGP9.5 antibody clone 31A3 is validated for tissue-based and cell-based studies, providing reproducible and sensitive results. Its widespread use in neuroscience and pathology has led to extensive citation in scientific literature. Alternate names include ubiquitin carboxyl-terminal hydrolase L1 antibody, neuron-specific protein antibody, and UCHL1 antibody.
The concentration stated for each application is a general starting point. Variations in protocols, secondaries and substrates may require the PGP9.5 antibody to be titered up or down for optimal performance.
1. Staining of formalin-fixed tissues requires boiling tissue sections in pH 9 10mM Tris with 1mM EDTA for 10-20 min followed by cooling at RT for 20 minutes.
2. The prediluted format is supplied in a dropper bottle and is optimized for use in IHC. After epitope retrieval step (if required), drip mAb solution onto the tissue section and incubate at RT for 30 min.
Native protein from brain was used as the immunogen for this PGP9.5 antibody.
Store the PGP9.5 antibody at 2-8oC (with azide) or aliquot and store at -20oC or colder (without azide).
 
Your bulk quote request has been submitted successfully!
Please contact us if you have any questions.