• Tel: 858.663.9055
  • SeparatorEmail: info@nsjbio.com
  • Tel: 858.663.9055
  • Email: info@nsjbio.com
Home >> Antibodies >> PGP 9.5 Antibody

PGP 9.5 Antibody (F47953)

  Catalog No Formulation Size Price (USD)  
Image F47953-0.4ML In 1X PBS, pH 7.4, with 0.09% sodium azide 0.4 ml 429
Image
F47953-0.08ML In 1X PBS, pH 7.4, with 0.09% sodium azide 0.08 ml 199
Bulk quote request
PGP 9.5 antibody western blot analysis in (1) U266, (2) NCI-H1299, (3) mouse Neuro-2a cell line and (4) mouse brain tissue lysate. Predicted molecular weight ~25 kDa.
Western blot analysis of lysate from (1) SH-SY5Y cell line and (2) mouse brain tissue using PGP 9.5 antibody at 1:1000. Predicted molecular weight ~25 kDa.
Fluorescent image of U251 cell stained with PGP 9.5 antibody at 1:25. Immunoreactivity is localized to the cytoplasm and nucleus.
PGP 9.5 antibody immunohistochemistry analysis in formalin fixed and paraffin embedded human pancreas tissue.
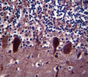
PGP 9.5 antibody immunohistochemistry analysis in formalin fixed and paraffin embedded human cerebellum tissue.
Availability 1-3 business days
Species Reactivity Human, Rat
Predicted Reactivity Bovine, Mouse, Pig, Primate
Format Antigen affinity purified
Clonality Polyclonal (rabbit origin)
Isotype Rabbit Ig
Purity Antigen affinity
UniProt P09936
Applications Western Blot : 1:1000
Immunofluorescence : 1:10-1:50
IHC (Paraffin) : 1:10-1:50
Limitations This PGP 9.5 antibody is available for research use only.
Review this product on BioCompare and get a $20 Amazon gift card

Related Products

Description

UCHL1 is a member of a gene family whose products hydrolyze small C-terminal adducts of ubiquitin to generate the ubiquitin monomer. Expression of UCHL1 is highly specific to neurons and to cells of the diffuse neuroendocrine system and their tumors. It is present in all neurons.

Application Notes

Titration of the PGP 9.5 antibody may be required due to differences in protocols and secondary/substrate sensitivity.

Immunogen

A portion of amino acids 187-214 from the human protein was used as the immunogen for this PGP 9.5 antibody.

Storage

Aliquot the PGP 9.5 antibody and store frozen at -20oC or colder. Avoid repeated freeze-thaw cycles.

Cross
Bulk Quote Request Form
Name*:
Organization*:
Email*:
Phone Number*:
Catalog No.*:
Comments and Specifics(amount, formulation, etc.)*:
Validation code: Captchapackage Image


Can't read the image? click here to refresh.
    *required field

Your bulk quote request has been submitted successfully!

Please contact us if you have any questions.