• Tel: 858.663.9055
  • SeparatorEmail: info@nsjbio.com
  • Tel: 858.663.9055
  • Email: info@nsjbio.com
Home >> Antibodies >> PF4 Antibody / Platelet factor 4

PF4 Antibody / Platelet factor 4 [clone ACED-16] (RQ5014)

  Catalog No Formulation Size Price (USD)  
Image RQ5014 Antibody in PBS with 0.02% sodium azide, 50% glycerol and 0.4-0.5mg/ml BSA 100 ul 439
Microvalidated Rab Mono Image
Bulk quote request
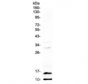
Western blot testing of human spleen lysate with PF4 antibody. Expected molecular weight: ~8/16/32 kDa (monomer/dimer/tetramer).
Availability 1-2 weeks
Species Reactivity Human
Format Purified
Clonality Rabbit Monoclonal
Isotype Rabbit IgG
Clone Name ACED-16
Purity Affinity purified
UniProt P02776
Applications Western Blot : 1:500-1:2000
Limitations This PF4 antibody is available for research use only.
Review this product on BioCompare and get a $20 Amazon gift card

Related Products

Description

Released during platelet aggregation. Neutralizes the anticoagulant effect of heparin because it binds more strongly to heparin than to the chondroitin-4-sulfate chains of the carrier molecule. Chemotactic for neutrophils and monocytes. Inhibits endothelial cell proliferation, the short form is a more potent inhibitor than the longer form. [UniProt]

Application Notes

Optimal dilution of the PF4 antibody should be determined by the researcher.

Immunogen

A synthetic peptide specific to human PF4 was used as the immunogen for the PF4 antibody.

Storage

Store the PF4 antibody at -20oC.

Cross
Bulk Quote Request Form
Name*:
Organization*:
Email*:
Phone Number*:
Catalog No.*:
Comments and Specifics(amount, formulation, etc.)*:
Validation code: Captchapackage Image


Can't read the image? click here to refresh.
    *required field

Your bulk quote request has been submitted successfully!

Please contact us if you have any questions.