• Tel: 858.663.9055
  • SeparatorEmail: info@nsjbio.com
  • Tel: 858.663.9055
  • Email: info@nsjbio.com
Home >> Antibodies >> Peroxiredoxin 5 Antibody (PRDX5)

Peroxiredoxin 5 Antibody (PRDX5) (R30936)

  Catalog No Formulation Size Price (USD)  
Image R30936 0.5mg/ml if reconstituted with 0.2ml sterile DI water 100 ug 439
Bulk quote request
Western blot testing of Peroxiredoxin 5 antibody and Lane 1: rat brain; 2: (r) lung; 3: (r) liver; 4: (r) kidney; 5: human HeLa; 6: (h) 293T; 7: (h) MCF-7; 8: (h) A549 cell lysate. Expected size: ~22KD
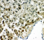
IHC-P: Peroxiredoxin 5 antibody testing of human prostatic cancer tissue
IHC-P: Peroxiredoxin 5 antibody testing of rat liver tissue
Availability 1-3 business days
Species Reactivity Human, Mouse, Rat
Format Antigen affinity purified
Clonality Polyclonal (rabbit origin)
Isotype Rabbit IgG
Purity Antigen affinity
Buffer Lyophilized from 1X PBS with 2.5% BSA and 0.025% sodium azide/thimerosal
UniProt P30044
Applications Western Blot : 0.5-1ug/ml
IHC (FFPE) : 0.5-1ug/ml
Limitations This Peroxiredoxin 5 antibody is available for research use only.
Review this product on BioCompare and get a $20 Amazon gift card

Related Products

Description

Peroxiredoxin 5, also known as PRX5 and PRDX5, is a member of the peroxiredoxin family and may play an antioxidant protective role in various tissues under nonpathologic conditions and during inflammatory processes. PRDX5 displays mitochondrial presequence features and has 3 cysteines implicated in antioxidant activity and a C-terminal SQL peroxisomal targeting sequence. Northern blot analysis revealed ubiquitous expression of a 1.0-kb PRDX5 transcript in tissues and cell lines. Functional analysis showed that Peroxiredoxin 5 has antioxidant activity equivalent to that of CAT. While PRDX5 was localized to fibroblasts in normal tendon, it was localized to fibroblasts and endothelial cells in degenerative tendon. mRNA and protein levels increased at 12 hours, and the increase in PRDX5 expression correlated with reduced peroxide levels. Peroxiredoxin 5 plays a protective role against oxidative stress in human cartilage.

Application Notes

The stated application concentrations are suggested starting amounts. Titration of the Peroxiredoxin 5 antibody may be required due to differences in protocols and secondary/substrate sensitivity.

Immunogen

An amino acid sequence from the C-terminus of human PRDX5 (DDSLVSIFGNRRLKRF) was used as the immunogen for this Peroxiredoxin 5 antibody (100% homologous in human, mouse and rat).

Storage

After reconstitution, the Peroxiredoxin 5 antibody can be stored for up to one month at 4oC. For long-term, aliquot and store at -20oC. Avoid repeated freezing and thawing.

Cross
Bulk Quote Request Form
Name*:
Organization*:
Email*:
Phone Number*:
Catalog No.*:
Comments and Specifics(amount, formulation, etc.)*:
Validation code: Captchapackage Image


Can't read the image? click here to refresh.
    *required field

Your bulk quote request has been submitted successfully!

Please contact us if you have any questions.