• Tel: 858.663.9055
  • SeparatorEmail: info@nsjbio.com
  • Tel: 858.663.9055
  • Email: info@nsjbio.com
Home >> Antibodies >> Periostin Antibody

Periostin Antibody [clone POSTN/8951R] (V4315)

  Catalog No Formulation Size Price (USD)  
Image V4315-100UG 0.2 mg/ml in 1X PBS with 0.1 mg/ml BSA (US sourced), 0.05% sodium azide 100 ug 539
Image
V4315-20UG 0.2 mg/ml in 1X PBS with 0.1 mg/ml BSA (US sourced), 0.05% sodium azide 20 ug 249
Image
V4315SAF-100UG 1 mg/ml in 1X PBS; BSA free, sodium azide free 100 ug 539
Microvalidated Recrabbitmono
Bulk quote request
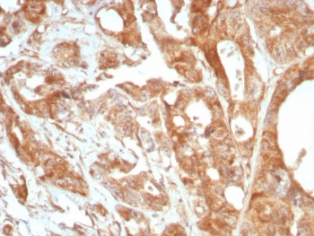
IHC staining of FFPE human lung tissue with Periostin antibody (clone POSTN/8951R). HIER: boil tissue sections in pH 9 10mM Tris with 1mM EDTA for 20 min and allow to cool before testing.
Availability 1-3 business days
Species Reactivity Human
Format Purified
Clonality Recombinant Rabbit Monoclonal
Isotype Rabbit IgG, kappa
Clone Name POSTN/8951R
Purity Protein A/G affinity
UniProt Q15063
Localization Secreted, Cytoplasm
Applications Immunohistochemistry (FFPE) : 1-2ug/ml for 30 minutes at RT
Limitations This Periostin antibody is available for research use only.
Review this product on BioCompare and get a $20 Amazon gift card

Related Products

Description

Periostin (PN), also designated osteoblast-specific factor 2 (OSF-2), is a disulfide linked protein originally isolated as a osteoblast-specific factor. Periostin is a secreted protein that binds heparin and functions as a ligand for AlphaVbeta3 and AlphaVbeta5 integrins. In preosteoblasts, Periostin acts as a cell adhesion molecule and plays a role in osteoblast recruitment, spreading and attachment. Periostin is mainly detected in lower gastrointestinal tract, aorta, stomach, placenta, uterus and breast tissues but is up-regulated in epithelial ovarian tumors and overexpressed in breast cancer. Expression of Periostin is increased by bone morphogenetic protein (BMP2) and transforming growth factor beta 1 (TGF beta 1). Periostin contains a typical signal sequence, followed by a cysteine-rich domain, a fourfold repeated domain, which shows homology with the insect protein fasciclin, and a C-terminal domain.

Application Notes

Optimal dilution of the Periostin antibody should be determined by the researcher.

Immunogen

A recombinant fragment of human POSTN protein was used as the immunogen for the Periostin antibody.

Storage

Aliquot the Periostin antibody and store frozen at -20oC or colder. Avoid repeated freeze-thaw cycles.

Cross
Bulk Quote Request Form
Name*:
Organization*:
Email*:
Phone Number*:
Catalog No.*:
Comments and Specifics(amount, formulation, etc.)*:
Validation code: Captchapackage Image


Can't read the image? click here to refresh.
    *required field

Your bulk quote request has been submitted successfully!

Please contact us if you have any questions.