• Tel: 858.663.9055
  • SeparatorEmail: info@nsjbio.com
  • Tel: 858.663.9055
  • Email: info@nsjbio.com
Home >> Antibodies >> Periostin Antibody / POSTN

Periostin Antibody / POSTN [clone POSTN/3503] (V8697)

  Catalog No Formulation Size Price (USD)  
Image V8697-100UG 0.2 mg/ml in 1X PBS with 0.1 mg/ml BSA (US sourced) and 0.05% sodium azide 100 ug 539
Image
V8697-20UG 0.2 mg/ml in 1X PBS with 0.1 mg/ml BSA (US sourced) and 0.05% sodium azide 20 ug 249
Image
V8697SAF-100UG 1 mg/ml in 1X PBS; BSA free, sodium azide free 100 ug 539
Microvalidated
Bulk quote request
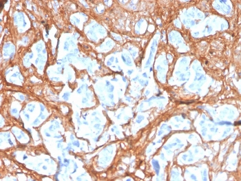
IHC staining of FFPE human colon carcinoma with Periostin antibody (clone POSTN/3503). HIER: boil tissue sections in pH 9 10mM Tris with 1mM EDTA for 20 min and allow to cool before testing.
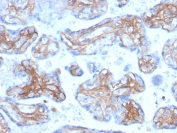
IHC staining of FFPE human placenta with Periostin antibody (clone POSTN/3503). HIER: boil tissue sections in pH 9 10mM Tris with 1mM EDTA for 20 min and allow to cool before testing.
Analysis of HuProt(TM) microarray containing more than 19,000 full-length human proteins using Periostin antibody (clone POSTN/3503). These results demonstrate the foremost specificity of the POSTN/3503 mAb. Z- and S- score: The Z-score represents the strength of a signal that an antibody (in combination with a fluorescently-tagged anti-IgG secondary Ab) produces when binding to a particular protein on the HuProt(TM) array. Z-scores are described in units of standard deviations (SD's) above the mean value of all signals generated on that array. If the targets on the HuProt(TM) are arranged in descending order of the Z-score, the S-score is the difference (also in units of SD's) between the Z-scores. The S-score therefore represents the relative target specificity of an Ab to its intended target.
SDS-PAGE analysis of purified, BSA-free Periostin antibody (clone POSTN/3503) as confirmation of integrity and purity.
Availability 1-3 business days
Species Reactivity Human
Format Purified
Clonality Monoclonal (mouse origin)
Isotype Mouse IgG2b, kappa
Clone Name POSTN/3503
Purity Protein G affinity chromatography
UniProt Q15063
Localization Secreted, cytoplasm
Applications Immunohistochemistry (FFPE) : 1-2ug/ml for 30 minutes at RT
Limitations This Periostin antibody is available for research use only.
Review this product on BioCompare and get a $20 Amazon gift card

Related Products

Description

Periostin (PN, POSTN), also designated osteoblast-specific factor 2 (OSF-2), is a disulfide linked protein originally isolated as a osteoblast-specific factor. Periostin is a secreted protein that binds heparin and functions as a ligand for 1). Periostin contains a typical signal sequence, followed by a cysteine-rich domain, a fourfold repeated domain, which shows homology with the insect protein fasciclin, and a C-terminal domain.

Application Notes

Optimal dilution of the Periostin antibody should be determined by the researcher.

Immunogen

Recombinant full-length human protein was used as the immunogen for the Periostin antibody.

Storage

Store the Periostin antibody at 2-8oC (with azide) or aliquot and store at -20oC or colder (without azide).

Cross
Bulk Quote Request Form
Name*:
Organization*:
Email*:
Phone Number*:
Catalog No.*:
Comments and Specifics(amount, formulation, etc.)*:
Validation code: Captchapackage Image


Can't read the image? click here to refresh.
    *required field

Your bulk quote request has been submitted successfully!

Please contact us if you have any questions.