• Tel: 858.663.9055
  • SeparatorEmail: info@nsjbio.com
  • Tel: 858.663.9055
  • Email: info@nsjbio.com
Home >> Antibodies >> Perilipin Antibody / PLIN1

Perilipin Antibody / PLIN1 (R35133)

  Catalog No Formulation Size Price (USD)  
Image R35133-100UG 0.5 mg/ml in 1X TBS, pH7.3, with 0.5% BSA (US sourced) and 0.02% sodium azide 100 ug 449
Bulk quote request
Western blot testing of human adipose lysate with Perilipin antibody at 0.01ug/ml. Predicted molecular weight ~56 kDa.
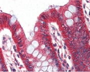
IHC testing of FFPE human colon tissue with Perilipin antibody at 2ug/ml. Required HIER: steamed antigen retrieval with pH6 citrate buffer; AP-staining.
Availability 1-3 business days
Species Reactivity Human
Format Antigen affinity purified
Clonality Polyclonal (goat origin)
Isotype Goat Ig
Purity Antigen affinity
Gene ID 5346
Localization Cytoplasmic (lipid droplet, ER)
Applications Western Blot : 0.01-0.1 ug/ml
IHC (FFPE) : 2ug/ml
ELISA (peptide) LOD : 1:128000
Limitations This Perilipin antibody is available for research use only.
Review this product on BioCompare and get a $20 Amazon gift card

Description

Additional name(s) for this target protein: PERI; PLIN, PLIN1, Perilipin, Perilipin 1

Application Notes

Optimal dilution of the Perilipin antibody should be determined by the researcher.

Immunogen

Amino acids PREKPKRRVSDS were used as the immunogen for this Perilipin antibody.

Storage

Aliquot and store the Perilipin antibody at -20oC.

Cross
Bulk Quote Request Form
Name*:
Organization*:
Email*:
Phone Number*:
Catalog No.*:
Comments and Specifics(amount, formulation, etc.)*:
Validation code: Captchapackage Image


Can't read the image? click here to refresh.
    *required field

Your bulk quote request has been submitted successfully!

Please contact us if you have any questions.