• Tel: 858.663.9055
  • SeparatorEmail: info@nsjbio.com
  • Tel: 858.663.9055
  • Email: info@nsjbio.com
Home >> Antibodies >> Perilipin 3 Antibody / M6PRBP1

Perilipin 3 Antibody / M6PRBP1 (R32450)

  Catalog No Formulation Size Price (USD)  
Image R32450 0.5mg/ml if reconstituted with 0.2ml sterile DI water 100 ug 439
Bulk quote request
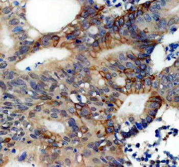
IHC staining of FFPE human colon cancer tissue with Perilipin 3 antibody, HRP-secondary and DAB substrate. HIER: boil tissue sections in pH8 EDTA for 20 min and allow to cool before testing.
IHC staining of FFPE human colon cancer tissue with Perilipin 3 antibody, HRP-secondary and DAB substrate. HIER: boil tissue sections in pH8 EDTA for 20 min and allow to cool before testing.
Western blot testing of human 1) PC-3, 2) ThP-1, 3) HepG2 and 4) U-2 OS cell lysate with Perilipin 3 antibody at 0.5ug/ml. Predicted molecular weight ~47 kDa.
Availability 1-3 business days
Species Reactivity Human, Mouse, Rat
Format Antigen affinity purified
Clonality Polyclonal (rabbit origin)
Isotype Rabbit IgG
Purity Antigen affinity
Buffer Lyophilized from 1X PBS with 2% Trehalose
UniProt O60664
Localization Cytoplasmic, membranous
Applications Western Blot : 0.5-1ug/ml
Immunohistochemistry (FFPE) : 2-5ug/ml
Limitations This Perilipin 3 antibody is available for research use only.
Review this product on BioCompare and get a $20 Amazon gift card

Related Products

Description

Perilipin 3, also known as M6PRBP1, is a lipid droplet-associated protein that plays an important role in lipid storage, transport, and metabolism. It belongs to the PAT family of proteins, which also includes Perilipin 1, Perilipin 2, and others that collectively regulate lipid droplet formation and function. A Perilipin 3 antibody is commonly used to investigate lipid droplet biology, lipid trafficking pathways, and metabolic regulation in both physiological and pathological contexts.

Perilipin 3 is ubiquitously expressed, with higher levels observed in tissues that rely heavily on lipid metabolism, such as liver, adipose tissue, and skeletal muscle. It has been linked to the mobilization of triglycerides and the regulation of fatty acid flux within cells. Studies using a Perilipin 3 antibody have also shown its involvement in lipid droplet interactions with other organelles, including mitochondria and peroxisomes, highlighting its contribution to cellular energy homeostasis.

Dysregulation of Perilipin 3 expression or function has been associated with metabolic disorders, such as obesity, type 2 diabetes, and hepatic steatosis. It has also been implicated in cancer biology, where altered lipid droplet dynamics influence tumor cell growth and survival. The ability to detect and monitor Perilipin 3 expression with a Perilipin 3 antibody provides researchers with a valuable tool for studying these mechanisms.

NSJ Bioreagents offers a reliable Perilipin 3 antibody that can be applied to various assays, including western blotting, immunohistochemistry, and immunofluorescence. By using a Perilipin 3 antibody from NSJ Bioreagents, researchers can generate reproducible and accurate results in the study of lipid metabolism and related diseases.

Application Notes

Optimal dilution of the Perilipin 3 antibody should be determined by the researcher.

Immunogen

Amino acids ESRALTMFRDIAQQLQATCTSLGSSIQGLPTNVKDQVQQARRQ were used as the immunogen for the Perilipin 3 antibody.

Storage

Prior to reconstitution, store at 4oC. After reconstitution, the Perilipin 3 antibody can be stored for up to one month at 4oC. For long-term, aliquot and store at -20oC. Avoid repeated freezing and thawing.

Cross
Bulk Quote Request Form
Name*:
Organization*:
Email*:
Phone Number*:
Catalog No.*:
Comments and Specifics(amount, formulation, etc.)*:
Validation code: Captchapackage Image


Can't read the image? click here to refresh.
    *required field

Your bulk quote request has been submitted successfully!

Please contact us if you have any questions.