• Tel: 858.663.9055
  • SeparatorEmail: info@nsjbio.com
  • Tel: 858.663.9055
  • Email: info@nsjbio.com
Home >> Antibodies >> Peptide YY Antibody / PYY

Peptide YY Antibody / PYY (RQ4658)

  Catalog No Formulation Size Price (USD)  
Image RQ4658 0.5mg/ml if reconstituted with 0.2ml sterile DI water 100 ug 439
Bulk quote request
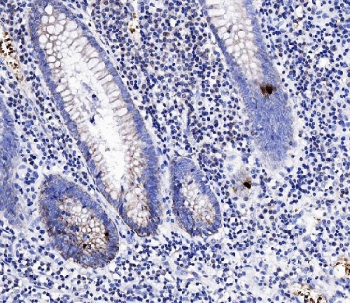
IHC staining of FFPE human appendicitis tissue with Peptide YY antibody at 1ug/ml. HIER: boil tissue sections in pH6, 10mM citrate buffer, for 10-20 min followed by cooling at RT for 20 min.
Availability 1-3 business days
Species Reactivity Human
Format Antigen affinity purified
Clonality Polyclonal (rabbit origin)
Isotype Rabbit IgG
Purity Antigen affinity purified
Buffer Lyophilized from 1X PBS with 2% Trehalose
UniProt P10082
Localization Secreted
Applications Immunohistochemistry (FFPE) : 1-2ug/ml
Limitations This PYY antibody is available for research use only.
Review this product on BioCompare and get a $20 Amazon gift card

Related Products

  • Applications : IHC-P, IF
    Reactivity : Mouse, Rat
  • Applications : FACS, IF, IHC-P, WB
    Reactivity : Human

Description

The Peptide YY antibody is engineered to detect human peptide YY (PYY), a short peptide hormone secreted by enteroendocrine L cells of the distal small intestine and colon. PYY is a member of the pancreatic polypeptide family and is secreted after meals in proportion to caloric intake. It plays a pivotal role in appetite regulation, gastric motility, and nutrient absorption. Circulating PYY is found in two forms, PYY1-36 and PYY3-36, with PYY3-36 acting as a selective agonist of the Y2 receptor to suppress food intake. The Peptide YY antibody provides reliable detection of human PYY across research applications focused on metabolism and gut hormone biology.

Human PYY is a 36-amino acid peptide closely related to neuropeptide Y and pancreatic polypeptide. It acts as a satiety factor by influencing vagal pathways and hypothalamic centers that regulate food intake. In addition, PYY modulates gastrointestinal motility, pancreatic secretion, and insulin release, contributing to energy balance and metabolic homeostasis. Dysregulation of PYY has been implicated in obesity, type 2 diabetes, and metabolic syndrome, making it a major focus of endocrine and translational research. The Peptide YY antibody enables researchers to measure circulating and tissue levels of this hormone with precision.

In immunohistochemistry, the Peptide YY antibody stains enteroendocrine L cells scattered within the intestinal mucosa, revealing hormone distribution in the gut. In immunofluorescence, it highlights subcellular storage granules, supporting studies of PYY secretion dynamics. In western blotting and ELISA, the antibody quantifies PYY in tissue extracts and serum samples under diverse physiological and experimental conditions. Production under strict quality standards ensures reproducibility and reliability across applications.

This antibody is particularly valuable in studies of appetite regulation and bariatric surgery, where altered PYY secretion contributes to weight loss and improved glucose control. It is also used in neuroendocrine research, as PYY acts at the interface of the gut-brain axis. Synonym terms such as PYY antibody, peptide YY hormone antibody, and satiety hormone antibody enhance product discoverability for investigators using alternate terminology.

By offering validated and reproducible detection, the Peptide YY antibody supports detailed investigation of gut hormone physiology and metabolic disease. NSJ Bioreagents supplies this antibody with rigorous quality control, ensuring reliable performance in western blotting, immunohistochemistry, immunofluorescence, and ELISA. With specificity for human PYY, the Peptide YY antibody is an indispensable tool for advancing metabolic and endocrine research.

Application Notes

Optimal dilution of the Peptide YY antibody should be determined by the researcher.

Immunogen

Amino acids YPIKPEAPREDASPEELNRYYASLRHYLNLVTRQRY were used as the immunogen for the Peptide YY antibody.

Storage

After reconstitution, the Peptide YY antibody can be stored for up to one month at 4oC. For long-term, aliquot and store at -20oC. Avoid repeated freezing and thawing.

Cross
Bulk Quote Request Form
Name*:
Organization*:
Email*:
Phone Number*:
Catalog No.*:
Comments and Specifics(amount, formulation, etc.)*:
Validation code: Captchapackage Image


Can't read the image? click here to refresh.
    *required field

Your bulk quote request has been submitted successfully!

Please contact us if you have any questions.