• Tel: 858.663.9055
  • SeparatorEmail: info@nsjbio.com
  • Tel: 858.663.9055
  • Email: info@nsjbio.com
Home >> Antibodies >> Peptide YY Antibody / PYY

Peptide YY Antibody / PYY (F54814)

  Catalog No Formulation Size Price (USD)  
Image F54814-0.4ML In 1X PBS, pH 7.4, with 0.09% sodium azide 0.4 ml 429
Image
F54814-0.08ML In 1X PBS, pH 7.4, with 0.09% sodium azide 0.08 ml 199
Bulk quote request
Western blot testing of human MCF7 cell lysate with Peptide YY antibody. Expected molecular weight: 11/4 kDa (preproprotein/mature).
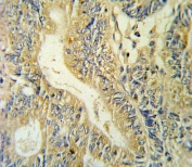
IHC testing of FFPE human colon carcinoma tissue with Peptide YY antibody. HIER: steam section in pH6 citrate buffer for 20 min and allow to cool prior to staining.
Immunofluorescent staining of human MCF7 cells with Peptide YY antibody (green) and DAPI nuclear stain (blue).
Flow cytometry testing of human MCF7 cells with Peptide YY antibody; Blue=isotype control, Green= Peptide YY antibody.
Availability 1-3 business days
Species Reactivity Human
Format Purified
Clonality Polyclonal (rabbit origin)
Isotype Rabbit Ig
Purity Antigen affinity purified
UniProt P10082
Applications Flow Cytometry : 1:10-1:50 (1x10e6 cells)
Immunofluorescence : 1:10-1:50
Immunohistochemistry (FFPE) : 1:10-1:50
Western Blot : 1:500-1:1000
Limitations This Peptide YY antibody is available for research use only.
Review this product on BioCompare and get a $20 Amazon gift card

Related Products

Description

PYY gut peptide inhibits exocrine pancreatic secretion, has a vasoconstrictory action and inhibitis jejunal and colonic mobility.

Application Notes

The stated application concentrations are suggested starting points. Titration of the Peptide YY antibody may be required due to differences in protocols and secondary/substrate sensitivity.

Immunogen

A portion of amino acids 67-94 from the human protein was used as the immunogen for the Peptide YY antibody.

Storage

Aliquot the Peptide YY antibody and store frozen at -20oC or colder. Avoid repeated freeze-thaw cycles.

Cross
Bulk Quote Request Form
Name*:
Organization*:
Email*:
Phone Number*:
Catalog No.*:
Comments and Specifics(amount, formulation, etc.)*:
Validation code: Captchapackage Image


Can't read the image? click here to refresh.
    *required field

Your bulk quote request has been submitted successfully!

Please contact us if you have any questions.