• Tel: 858.663.9055
  • SeparatorEmail: info@nsjbio.com
  • Tel: 858.663.9055
  • Email: info@nsjbio.com
Home >> Antibodies >> Peptidase inhibitor 15 Antibody

Peptidase inhibitor 15 Antibody (R35786)

  Catalog No Formulation Size Price (USD)  
Image R35786-100UG 0.5 mg/ml in 1X TBS, pH7.3, with 0.5% BSA (US sourced) and 0.02% sodium azide 100 ug 449
Bulk quote request
Western blot testing of HeLa lysate with Peptidase inhibitor 15 antibody at 0.3ug/ml. Predicted molecular weight: ~29 kDa.
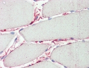
IHC testing of FFPE human skeletal muscle tissue with Peptidase inhibitor 15 antibody at 5ug/ml. Required HIER: steamed antigen retrieval with pH6 citrate buffer; AP-staining.
Availability 1-3 business days
Species Reactivity Human
Format Antigen affinity purified
Clonality Polyclonal (goat origin)
Isotype Goat Ig
Purity Antigen affinity
Gene ID 51050
Localization Secreted
Applications Western Blot : 0.3-1ug/ml
IHC (FFPE) : 5ug/ml
ELISA (peptide) LOD : 1:1000
Limitations This Peptidase inhibitor 15 antibody is available for research use only.
Review this product on BioCompare and get a $20 Amazon gift card

Related Products

Description

Additional name(s) for this target protein: PI15, CRISP8, cysteine-rich secretory protein 8

Application Notes

Optimal dilution of the Peptidase inhibitor 15 antibody should be determined by the researcher.

Immunogen

Amino acids RTGRYRSILQLVKP were used as the immunogen for this Peptidase inhibitor 15 antibody.

Storage

Aliquot and store the Peptidase inhibitor 15 antibody at -20oC.

Cross
Bulk Quote Request Form
Name*:
Organization*:
Email*:
Phone Number*:
Catalog No.*:
Comments and Specifics(amount, formulation, etc.)*:
Validation code: Captchapackage Image


Can't read the image? click here to refresh.
    *required field

Your bulk quote request has been submitted successfully!

Please contact us if you have any questions.