• Tel: 858.663.9055
  • SeparatorEmail: info@nsjbio.com
  • Tel: 858.663.9055
  • Email: info@nsjbio.com
Home >> Antibodies >> Pellino 2 Antibody / PELI2

Pellino 2 Antibody / PELI2 (RQ8617)

  Catalog No Formulation Size Price (USD)  
Image RQ8617 0.5mg/ml if reconstituted with 0.2ml sterile DI water 100 ug 439
Bulk quote request
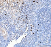
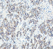
IHC staining of FFPE human colorectal adenocarcinoma tissue with Pellino 2 antibody. HIER: boil tissue sections in pH8 EDTA for 20 min and allow to cool before testing.
IHC staining of FFPE human lung adenocarcinoma tissue with Pellino 2 antibody. HIER: boil tissue sections in pH8 EDTA for 20 min and allow to cool before testing.
IHC staining of FFPE human tonsil tissue with Pellino 2 antibody. HIER: boil tissue sections in pH8 EDTA for 20 min and allow to cool before testing.
Immunofluorescent staining of FFPE human HeLa cells with Pellino 2 antibody (green) and DAPI nuclear stain (blue). HIER: steam section in pH6 citrate buffer for 20 min.
Western blot testing of 1) human Raji, 2) human Ramos, 3) rat spleen, 4) rat testis and 5) mouse testis tissue lysate with Pellino 2 antibody. Predicted molecular weight ~46 kDa.
Flow cytometry testing of fixed and permeabilized human ThP1 cells with Pellino 2 antibody at 1ug/million cells (blocked with goat sera); Red=cells alone, Green=isotype control, Blue= Pellino 2 antibody.
Availability 1-3 days
Species Reactivity Human, Mouse, Rat
Format Antigen affinity purified
Clonality Polyclonal (rabbit origin)
Isotype Rabbit IgG
Purity Antigen affinity purified
Buffer Lyophilized from 1X PBS with 2% Trehalose
UniProt Q9HAT8
Localization Cytoplasm
Applications Western Blot : 0.5-1ug/ml
Immunohistochemistry (FFPE) : 2-5ug/ml
Immunofluorescence : 5ug/ml
Flow Cytometry : 1-3ug/million cells
ELISA : 0.1-0.5ug/ml
Limitations This Pellino 2 antibody is available for research use only.
Review this product on BioCompare and get a $20 Amazon gift card

Description

Protein pellino homolog 2 is a protein that in humans is encoded by the PELI2 gene. PELI2 is a E3 ubiquitin ligase catalyzing the covalent attachment of ubiquitin moieties onto substrate proteins. It is involved in the TLR and IL-1 signaling pathways via interaction with the complex containing IRAK kinases and TRAF6. It mediates IL1B-induced IRAK1 'Lys-63'-linked polyubiquitination and possibly 'Lys-48'-linked ubiquitination. It may be important for LPS- and IL1B-induced MAP3K7- dependent, but not MAP3K3-dependent, NF-kappa-B activation. And it can activate the MAP (mitogen activated protein) kinase pathway leading to activation of ELK1.

Application Notes

Optimal dilution of the Pellino 2 antibody should be determined by the researcher.

Immunogen

An E.coli-derived human recombinant protein (amino acids D118-D420) was used as the immunogen for the Pellino 2 antibody.

Storage

After reconstitution, the Pellino 2 antibody can be stored for up to one month at 4oC. For long-term, aliquot and store at -20oC. Avoid repeated freezing and thawing.

Cross
Bulk Quote Request Form
Name*:
Organization*:
Email*:
Phone Number*:
Catalog No.*:
Comments and Specifics(amount, formulation, etc.)*:
Validation code: Captchapackage Image


Can't read the image? click here to refresh.
    *required field

Your bulk quote request has been submitted successfully!

Please contact us if you have any questions.