• Tel: 858.663.9055
  • SeparatorEmail: info@nsjbio.com
  • Tel: 858.663.9055
  • Email: info@nsjbio.com
Home >> Antibodies >> PDXP Antibody

PDXP Antibody (R35288)

  Catalog No Formulation Size Price (USD)  
Image R35288-100UG 0.5 mg/ml in 1X TBS, pH7.3, with 0.5% BSA (US sourced) and 0.02% sodium azide 100 ug 449
Bulk quote request
Western blot testing of human heart lysate with PDXP antibody at 0.1ug/ml. Predicted molecular weight: ~32kDa.
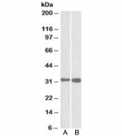
Western blot of mouse (A) and rat (B) brain lysates with PDXP antibody at 0.1ug/ml. Predicted molecular weight: ~32kDa.
Availability 1-3 business days
Species Reactivity Human, Mouse, Rat
Predicted Reactivity Cow
Format Antigen affinity purified
Clonality Polyclonal (goat origin)
Isotype Goat Ig
Purity Antigen affinity
Gene ID 57026
Applications Western Blot : 0.1-0.3ug/ml
ELISA (peptide) LOD : 1:64000
Limitations This PDXP antibody is available for research use only.
Review this product on BioCompare and get a $20 Amazon gift card

Related Products

  • Applications : WB, FACS, Direct ELISA
    Reactivity : Human, Mouse, Rat

Description

Additional name(s) for this target protein: Pyridoxal phosphatase; Chronophin

Application Notes

Optimal dilution of the PDXP antibody should be determined by the researcher.

Immunogen

Amino acids QHDLVPHYYVES were used as the immunogen for this PDXP antibody.

Storage

Aliquot and store the PDXP antibody at -20oC.

Cross
Bulk Quote Request Form
Name*:
Organization*:
Email*:
Phone Number*:
Catalog No.*:
Comments and Specifics(amount, formulation, etc.)*:
Validation code: Captchapackage Image


Can't read the image? click here to refresh.
    *required field

Your bulk quote request has been submitted successfully!

Please contact us if you have any questions.