• Tel: 858.663.9055
  • SeparatorEmail: info@nsjbio.com
  • Tel: 858.663.9055
  • Email: info@nsjbio.com
Home >> Antibodies >> PDXDC1 Antibody / Pyridoxal-dependent decarboxylase domain-containing protein 1

PDXDC1 Antibody / Pyridoxal-dependent decarboxylase domain-containing protein 1 (RQ7909)

  Catalog No Formulation Size Price (USD)  
Image RQ7909 0.5mg/ml if reconstituted with 0.2ml sterile DI water 100 ug 439
Bulk quote request
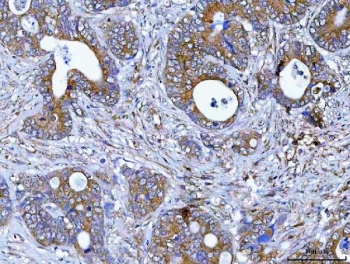
IHC staining of FFPE human colorectal adenocarcinoma tissue with PDXDC1 antibody. HIER: boil tissue sections in pH8 EDTA for 20 min and allow to cool before testing.
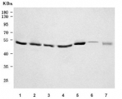
Western blot testing of 1) human HeLa, 2) human 293T, 3) human RT4, 4) human HepG2, 5) rat testis, 6) rat lung and 7) mouse testis tissue lysate with PDXDC1 antibody. Predicted molecular weight: 77-87 kDa and ~48 kDa (multiple isoforms).
Flow cytometry testing of human HepG2 cells with PDXDC1 antibody at 1ug/million cells (blocked with goat sera); Red=cells alone, Green=isotype control, Blue= PDXDC1 antibody.
Availability 1-3 business days
Species Reactivity Human, Mouse, Rat
Format Antigen affinity purified
Clonality Polyclonal (rabbit origin)
Isotype Rabbit IgG
Purity Antigen affinity purified
Buffer Lyophilized from 1X PBS with 2% Trehalose
UniProt Q6P996
Localization Cytoplasmic
Applications Western Blot : 0.5-1ug/ml
Immunohistochemistry (FFPE) : 2-5ug/ml
Flow Cytometry : 1-3ug/million cells
Direct ELISA : 0.1-0.5ug/ml
Limitations This PDXDC1 antibody is available for research use only.
Review this product on BioCompare and get a $20 Amazon gift card

Description

Enables cadherin binding activity. Predicted to be involved in carboxylic acid metabolic process. Located in Golgi apparatus.

Application Notes

Optimal dilution of the PDXDC1 antibody should be determined by the researcher.

Immunogen

E. coli-derived recombinant human protein (amino acids E473-H773) was used as the immunogen for the PDXDC1 antibody.

Storage

After reconstitution, the PDXDC1 antibody can be stored for up to one month at 4oC. For long-term, aliquot and store at -20oC. Avoid repeated freezing and thawing.

Cross
Bulk Quote Request Form
Name*:
Organization*:
Email*:
Phone Number*:
Catalog No.*:
Comments and Specifics(amount, formulation, etc.)*:
Validation code: Captchapackage Image


Can't read the image? click here to refresh.
    *required field

Your bulk quote request has been submitted successfully!

Please contact us if you have any questions.