• Tel: 858.663.9055
  • SeparatorEmail: info@nsjbio.com
  • Tel: 858.663.9055
  • Email: info@nsjbio.com
Home >> Antibodies >> PDPK1 Antibody

PDPK1 Antibody (R31813)

  Catalog No Formulation Size Price (USD)  
Image R31813 0.5mg/ml if reconstituted with 0.2ml sterile DI water 100 ug 439
Bulk quote request
Western blot testing of 1) rat liver, 2) rat lung, 3) mouse liver, 4) mouse lung, 5) human COLO320 and 6) human MCF7 lysate with PDPK1 antibody. Expected molecular weight ~63 kDa, observed here at ~70 kDa.
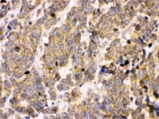
IHC testing of FFPE human lung cancer tissue with PDPK1 antibody. HIER: Boil the paraffin sections in pH 6, 10mM citrate buffer for 20 minutes and allow to cool prior to staining.
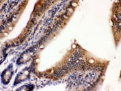
IHC testing of FFPE mouse intestine with PDPK1 antibody. HIER: Boil the paraffin sections in pH 6, 10mM citrate buffer for 20 minutes and allow to cool prior to staining.
IHC testing of FFPE rat testis with PDPK1 antibody. HIER: Boil the paraffin sections in pH 6, 10mM citrate buffer for 20 minutes and allow to cool prior to staining.
IHC testing of frozen human placental tissue with PDPK1 antibody.
IHC testing of frozen mouse small intestine tissue with PDPK1 antibody.
Availability 1-3 business days
Species Reactivity Human, Mouse, Rat
Format Antigen affinity purified
Clonality Polyclonal (rabbit origin)
Isotype Rabbit IgG
Purity Antigen affinity
Buffer Lyophilized from 1X PBS with 2.5% BSA, 0.025% sodium azide
UniProt O15530
Localization Cytoplasmic
Applications Western Blot : 0.1-0.5ug/ml
IHC (FFPE) : 0.5-1ug/ml
IHC (Frozen) : 0.5-1ug/ml
Limitations This PDPK1 antibody is available for research use only.
Review this product on BioCompare and get a $20 Amazon gift card

Related Products

Description

3-phosphoinositide dependent protein kinase-1 is a protein which in humans is encoded by the PDPK1 gene. PDPK1 is a master kinase, which is crucial for the activation of AKT/PKB and many other AGC kinases including PKC, S6K, SGK. An important role for PDPK1 is in the signalling pathways activated by several growth factors and hormones including insulin signaling. Mice lacking PDPK1 die during early embryonic development, indicating that this enzyme is critical for transmitting the growth-promoting signals necessary for normal mammalian development.

Application Notes

Optimal dilution of the PDPK1 antibody should be determined by the researcher.

Immunogen

Amino acids YLMDPSGNAHKWCRKIQEVWRQRYQSHPDAAVQ of human PDPK1 were used as the immunogen for the PDPK1 antibody.

Storage

After reconstitution, the PDPK1 antibody can be stored for up to one month at 4oC. For long-term, aliquot and store at -20oC. Avoid repeated freezing and thawing.

Cross
Bulk Quote Request Form
Name*:
Organization*:
Email*:
Phone Number*:
Catalog No.*:
Comments and Specifics(amount, formulation, etc.)*:
Validation code: Captchapackage Image


Can't read the image? click here to refresh.
    *required field

Your bulk quote request has been submitted successfully!

Please contact us if you have any questions.