• Tel: 858.663.9055
  • SeparatorEmail: info@nsjbio.com
  • Tel: 858.663.9055
  • Email: info@nsjbio.com
Home >> Antibodies >> PDLIM1 Antibody

PDLIM1 Antibody [clone CPTC-PDLIM1-1] (V8195)

  Catalog No Formulation Size Price (USD)  
Image V8195-100UG 0.2 mg/ml in 1X PBS with 0.1 mg/ml BSA (US sourced) and 0.05% sodium azide 100 ug 539
Image
V8195-20UG 0.2 mg/ml in 1X PBS with 0.1 mg/ml BSA (US sourced) and 0.05% sodium azide 20 ug 249
Image
V8195SAF-100UG 1 mg/ml in 1X PBS; BSA free, sodium azide free 100 ug 539
Bulk quote request
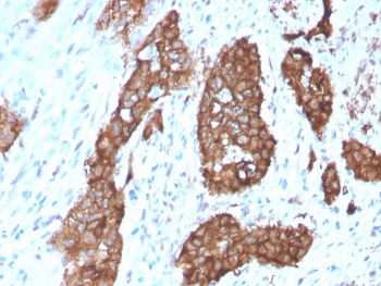
IHC staining of FFPE human breast carcinoma with PDLIM1 antibody (clone CPTC-PDLIM1-1). HIER: boil tissue sections in pH 9 10mM Tris with 1mM EDTA for 20 min and allow to cool before testing.
SDS-PAGE analysis of purified, BSA-free PDLIM1 antibody (clone CPTC-PDLIM1-1) as confirmation of integrity and purity.
Western blot testing of human placental tissue lysate with PDLIM1 antibody. Predicted molecular weight ~36 kDa, observed here at ~28 kDa.
Western blot testing of human heart tissue lysate with PDLIM1 antibody. Predicted molecular weight ~36 kDa, observed here at ~28 kDa.
Availability 1-3 business days
Species Reactivity Human
Format Purified
Clonality Monoclonal (mouse origin)
Isotype Mouse IgG1, kappa
Clone Name CPTC-PDLIM1-1
Purity Protein G affinity chromatography
UniProt O00151
Localization Cytoplasmic
Applications Western Blot : 1-2ug/ml
Immunohistochemistry (FFPE) : 1-2ug/ml
Limitations This PDLIM1 antibody is available for research use only.
Review this product on BioCompare and get a $20 Amazon gift card

Related Products

  • Applications : WB
    Reactivity : Human
  • Applications : WB, IHC-P, ELISA (peptide)
    Reactivity : Human

Description

CLP36, also known as PDLIM1, CLIM1 or Elfin, is a 329 amino acid cytoplasmic protein that associates with actin stress fibers at the cytoskeleton. Expressed at high levels in skeletal muscle and heart and at lower levels in colon, small intestine, spleen, lung, placenta, kidney, liver, thymus and pancreas, CLP36 functions as a cytoskeletal protein that is thought to act as an adaptor, bringing target proteins to the cytoskeleton. Specifically, CLP36 interacts with Clik1 (-actinin-1, thereby facilitating the association of Clik1 with actin stress fibers. CLP36 contains one PDZ domain and one LIM zinc-binding domain through which it conveys its protein-protein binding capabilities. Human CLP36 shares 88% sequence similarity with its rat counterpart, suggesting a conserved function between species.

Application Notes

Optimal dilution of the PDLIM1 antibody should be determined by the researcher.

Immunogen

A recombinant human full-length PDLIM1 protein was used as the immunogen for this PDLIM1 antibody.

Storage

Store the PDLIM1 antibody at 2-8oC (with azide) or aliquot and store at -20oC or colder (without azide).

Cross
Bulk Quote Request Form
Name*:
Organization*:
Email*:
Phone Number*:
Catalog No.*:
Comments and Specifics(amount, formulation, etc.)*:
Validation code: Captchapackage Image


Can't read the image? click here to refresh.
    *required field

Your bulk quote request has been submitted successfully!

Please contact us if you have any questions.