• Tel: 858.663.9055
  • SeparatorEmail: info@nsjbio.com
  • Tel: 858.663.9055
  • Email: info@nsjbio.com
Home >> Antibodies >> PDK1 Antibody / Pyruvate Dehydrogenase Kinase 1

PDK1 Antibody / Pyruvate Dehydrogenase Kinase 1 (RQ4285)

  Catalog No Formulation Size Price (USD)  
Image RQ4285 0.5mg/ml if reconstituted with 0.2ml sterile DI water 100 ug 439
Bulk quote request
Western blot testing of 1) human COLO-320 and 2) human PANC-1 cell lysate with PDK1 antibody at 0.5ug/ml. Predicted molecular weight ~49 kDa.
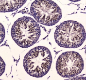
IHC testing of FFPE rat testis tissue with PDK1 antibody at 1ug/ml. Required HIER: steam section in pH6 citrate buffer for 20 min and allow to cool prior to staining.
Western blot testing of 1) human HeLa and 2) human HepG2 cell lysate with PDK1 antibody at 0.5ug/ml. Predicted molecular weight ~49 kDa.
Availability 1-3 business days
Species Reactivity Human, Rat
Format Antigen affinity purified
Clonality Polyclonal (rabbit origin)
Isotype Rabbit IgG
Purity Antigen affinity purified
Buffer Lyophilized from 1X PBS with 2% Trehalose and 0.025% sodium azide
UniProt Q15118
Localization Cytoplasm
Applications Western Blot : 0.5-1ug/ml
Immunohistochemistry (FFPE) : 1-2ug/ml
Direct ELISA : 0.1-0.5ug/ml
Limitations This PDK1 antibody is available for research use only.
Review this product on BioCompare and get a $20 Amazon gift card

Related Products

Description

PDK1 (Pyruvate Dehydrogenase Kinase Isoenzyme 1), is an enzyme that in humans is encoded by the PDK1 gene. To find human PDKs, Gudi et al. (1995) used oligonucleotide primers to screen a human liver cDNA library by PCR. They identified and reported the deduced amino acid sequences of PDK1, PDK2, and PDK3. The human PDK1 gene encodes a protein with a predicted molecular mass of 49,244 Da that shares 93% identity with that of the rat PDK1 gene. Northern blot analysis showed that the PDK1 message was expressed predominantly in the heart.

Application Notes

Optimal dilution of the PDK1 antibody should be determined by the researcher.

Immunogen

A recombinant human protein corresponding to amino acids V107-Y336 was used as the immunogen for the PDK1 antibody.

Storage

After reconstitution, the PDK1 antibody can be stored for up to one month at 4oC. For long-term, aliquot and store at -20oC. Avoid repeated freezing and thawing.

Cross
Bulk Quote Request Form
Name*:
Organization*:
Email*:
Phone Number*:
Catalog No.*:
Comments and Specifics(amount, formulation, etc.)*:
Validation code: Captchapackage Image


Can't read the image? click here to refresh.
    *required field

Your bulk quote request has been submitted successfully!

Please contact us if you have any questions.