• Tel: 858.663.9055
  • SeparatorEmail: info@nsjbio.com
  • Tel: 858.663.9055
  • Email: info@nsjbio.com
Home >> Antibodies >> PDK1 Antibody / Pyruvate dehydrogenase kinase 1

PDK1 Antibody / Pyruvate dehydrogenase kinase 1 (R31100)

  Catalog No Formulation Size Price (USD)  
Image R31100 0.5mg/ml if reconstituted with 0.2ml sterile DI water 100 ug 439
Bulk quote request
Western blot testing of PDK1 antbody on Lane 1: rat heart; 2: (r) skeletal muscle; and human samples 3: HeLa; 4: M231; 5: COLO320; 6: SW620 cell lysate. Predicted molecular weight ~49 kDa, observed here at ~64 kDa.
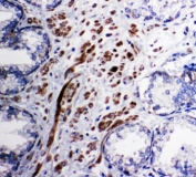
IHC-P: PDK1 antibody testing of human prostatic cancer tissue
Availability 1-3 business days
Species Reactivity Human, Rat
Format Antigen affinity purified
Clonality Polyclonal (rabbit origin)
Isotype Rabbit IgG
Purity Antigen affinity
Buffer Lyophilized from 1X PBS with 2.5% BSA and 0.025% sodium azide/thimerosal
UniProt Q15118
Localization Cytoplasmic
Applications Western Blot : 0.5-1ug/ml
IHC (FFPE) : 0.5-1ug/ml
Limitations This PDK1 antibody is available for research use only.
Review this product on BioCompare and get a $20 Amazon gift card

Related Products

Description

Pyruvate dehydrogenase kinase isoenzyme 1, is an enzyme that in humans is encoded by the PDK1 gene. To find human PDKs, Gudi et al.(1995) used oligonucleotide primers to screen a human liver cDNA library by PCR. They identified and reported the deduced amino acid sequences of PDK1, PDK2, and PDK3. Northern blot analysis showed that the PDK1 message was expressed predominantly in the heart.

Application Notes

The stated application concentrations are suggested starting amounts. Titration of the PDK1 antibody may be required due to differences in protocols and secondary/substrate sensitivity.

Immunogen

An amino acid sequence from the C-terminus of human Pyruvate dehydrogenase kinase isoenzyme 1 (WKHYNTNHEADDWC) was used as the immunogen for this PDK1 antibody.

Storage

After reconstitution, the PDK1 antibody can be stored for up to one month at 4oC. For long-term, aliquot and store at -20oC. Avoid repeated freezing and thawing.

Cross
Bulk Quote Request Form
Name*:
Organization*:
Email*:
Phone Number*:
Catalog No.*:
Comments and Specifics(amount, formulation, etc.)*:
Validation code: Captchapackage Image


Can't read the image? click here to refresh.
    *required field

Your bulk quote request has been submitted successfully!

Please contact us if you have any questions.