• Tel: 858.663.9055
  • SeparatorEmail: info@nsjbio.com
  • Tel: 858.663.9055
  • Email: info@nsjbio.com
Home >> Antibodies >> PDIA3 Antibody / ERp57 / Protein disulfide-isomerase A3

PDIA3 Antibody / ERp57 / Protein disulfide-isomerase A3 (R32052)

  Catalog No Formulation Size Price (USD)  
Image R32052 0.5mg/ml if reconstituted with 0.2ml sterile DI water 100 ug 439
Bulk quote request
Western blot testing of 1) rat liver, 2) mouse liver and 3) human A549 lysate with PDIA3 antibody. Predicted molecular weight: ~57-60 kDa.
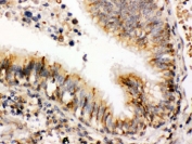
IHC testing of FFPE human lung cancer tissue with PDIA3 antibody. HIER: Boil the paraffin sections in pH 6, 10mM citrate buffer for 20 minutes and allow to cool prior to staining.
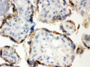
IHC testing of frozen human placental tissue with PDIA3 antibody.
Immunofluorescent staining of FFPE human U-2 OS cells with PDIA3 antibody (green) at 2ug/ml and DAPI nuclear stain (blue). HIER: steam section in pH6 citrate buffer for 20 min.
Flow cytometry testing of human PC-3 cells with PDIA3 antibody at 1ug/million cells (blocked with goat sera); Red=cells alone, Green=isotype control, Blue= PDIA3 antibody.
Availability 1-3 business days
Species Reactivity Human, Mouse, Rat
Format Antigen affinity purified
Clonality Polyclonal (rabbit origin)
Isotype Rabbit IgG
Purity Antigen affinity
Buffer Lyophilized from 1X PBS with 2.5% BSA, 0.025% sodium azide
UniProt P30101
Localization Cytoplasmic, membrane
Applications Western Blot : 0.1-0.5ug/ml
Immunohistochemistry (FFPE) : 0.5-1ug/ml
Immunohistochemistry (Frozen) : 0.5-1ug/ml
Immunofluorescence : 2-4ug/ml
Flow Cytometry : 1-3ug/million cells
Limitations This PDIA3 antibody is available for research use only.
Review this product on BioCompare and get a $20 Amazon gift card

Related Products

Description

PDIA3 (Protein disulfide isomerase family A, member 3), also called GRP58, Erp57 or ER60, is an isomerase enzyme. It is mapped on 15q15.3. PDIA3 is also part of the major histocompatibility complex (MHC) class I peptide-loading complex, which is essential for formation of the final antigen conformation and export from the endoplasmic reticulum to the cell surface. This gene encodes a protein of the endoplasmic reticulum that interacts with lectin chaperones calreticulin and calnexin to modulate folding of newly synthesized glycoproteins. The protein was once thought to be a phospholipase; however, it has been demonstrated that the protein actually has protein disulfide isomerase activity. It is thought that complexes of lectins and this protein mediate protein folding by promoting formation of disulfide bonds in their glycoprotein substrates.

Application Notes

Optimal dilution of the PDIA3 antibody should be determined by the researcher.

Immunogen

Amino acids RELSDFISYLQREATNPPVIQEEKPKKKKKAQEDL of human PDIA3/ERp57 were used as the immunogen for the PDIA3 antibody.

Storage

After reconstitution, the PDIA3 antibody can be stored for up to one month at 4oC. For long-term, aliquot and store at -20oC. Avoid repeated freezing and thawing.

Cross
Bulk Quote Request Form
Name*:
Organization*:
Email*:
Phone Number*:
Catalog No.*:
Comments and Specifics(amount, formulation, etc.)*:
Validation code: Captchapackage Image


Can't read the image? click here to refresh.
    *required field

Your bulk quote request has been submitted successfully!

Please contact us if you have any questions.