• Tel: 858.663.9055
  • SeparatorEmail: info@nsjbio.com
  • Tel: 858.663.9055
  • Email: info@nsjbio.com
Home >> Antibodies >> PDHA1 Antibody / Pyruvate Dehydrogenase E1 Alpha

PDHA1 Antibody / Pyruvate Dehydrogenase E1 Alpha [clone AODI-16] (RQ5240)

  Catalog No Formulation Size Price (USD)  
Image RQ5240 Antibody in PBS with 0.02% sodium azide, 50% glycerol and 0.4-0.5mg/ml BSA 100 ul 439
Microvalidated Rab Mono Image
Bulk quote request
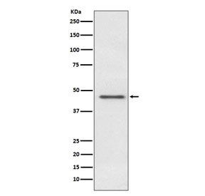
Western blot testing of human HeLa cell lysate with PDHA1 antibody. Predicted molecular weight ~43 kDa.
Availability 1-2 weeks
Species Reactivity Human
Format Purified
Clonality Rabbit Monoclonal
Isotype Rabbit IgG
Clone Name AODI-16
Purity Affinity purified
UniProt P08559
Applications Western Blot : 1:500-1:2000
Limitations This PDHA1 antibody is available for research use only.
Review this product on BioCompare and get a $20 Amazon gift card

Description

The pyruvate dehydrogenase (PDH) complex is a nuclear-encoded mitochondrial multienzyme complex that catalyzes the overall conversion of pyruvate to acetyl-CoA and CO(2), and provides the primary link between glycolysis and the tricarboxylic acid (TCA) cycle. The PDH complex is composed of multiple copies of three enzymatic components: pyruvate dehydrogenase (E1), dihydrolipoamide acetyltransferase (E2) and lipoamide dehydrogenase (E3). The E1 enzyme is a heterotetramer of two alpha and two beta subunits. This gene encodes the E1 alpha 1 subunit containing the E1 active site, and plays a key role in the function of the PDH complex. Mutations in this gene are associated with pyruvate dehydrogenase E1-alpha deficiency and X-linked Leigh syndrome. [RefSeq]

Application Notes

Optimal dilution of the PDHA1 antibody should be determined by the researcher.

Immunogen

A synthetic peptide specific to human Pdh E1 Alpha / PDHA1 was used as the immunogen for the PDHA1 antibody.

Storage

Store the PDHA1 antibody at -20oC.

Cross
Bulk Quote Request Form
Name*:
Organization*:
Email*:
Phone Number*:
Catalog No.*:
Comments and Specifics(amount, formulation, etc.)*:
Validation code: Captchapackage Image


Can't read the image? click here to refresh.
    *required field

Your bulk quote request has been submitted successfully!

Please contact us if you have any questions.