• Tel: 858.663.9055
  • SeparatorEmail: info@nsjbio.com
  • Tel: 858.663.9055
  • Email: info@nsjbio.com
Home >> Antibodies >> PDGFRB Antibody

PDGFRB Antibody [clone AGG-16] (RQ5280)

  Catalog No Formulation Size Price (USD)  
Image RQ5280 Antibody in PBS with 0.02% sodium azide, 50% glycerol and 0.4-0.5mg/ml BSA 100 ul 439
Microvalidated Rab Mono Image
Bulk quote request
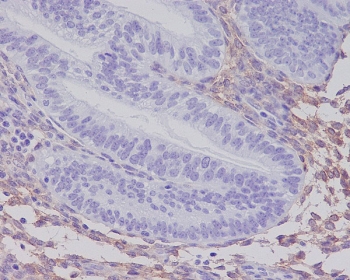
IHC staining of FFPE human uterus tissue with PDGFRB antibody. HIER: boil tissue sections in pH6, 10mM citrate buffer, for 10-20 min and allow to cool before testing.
Western blot testing of human SH-SY5Y cell lysate with PDGFRB antibody. Expected molecular weight: 123-190 kDa depending on level of glycosylation.
Availability 1-2 weeks
Species Reactivity Human
Format Purified
Clonality Rabbit Monoclonal
Isotype Rabbit IgG
Clone Name AGG-16
Purity Affinity purified
UniProt P09619
Localization Cell membrane, cytoplasmic (lysosome)
Applications Western Blot : 1:500-1:2000
Immunohistochemistry (FFPE) : 1:50-1:200
Limitations This PDGFRB antibody is available for research use only.
Review this product on BioCompare and get a $20 Amazon gift card

Related Products

Description

The protein encoded by the PDGFRB gene is a cell surface tyrosine kinase receptor for members of the platelet-derived growth factor family. These growth factors are mitogens for cells of mesenchymal origin. The identity of the growth factor bound to a receptor monomer determines whether the functional receptor is a homodimer (PDGFB or PDGFD) or a heterodimer (PDGFA and PDGFB). This gene is essential for normal development of the cardiovascular system and aids in rearrangement of the actin cytoskeleton. [RefSeq]

Application Notes

Optimal dilution of the PDGFRB antibody should be determined by the researcher.

Immunogen

A synthetic peptide specific to human PDGF Receptor beta / PDGFRB was used as the immunogen for the PDGFRB antibody.

Storage

Store the PDGFRB antibody at -20oC.

Cross
Bulk Quote Request Form
Name*:
Organization*:
Email*:
Phone Number*:
Catalog No.*:
Comments and Specifics(amount, formulation, etc.)*:
Validation code: Captchapackage Image


Can't read the image? click here to refresh.
    *required field

Your bulk quote request has been submitted successfully!

Please contact us if you have any questions.