• Tel: 858.663.9055
  • SeparatorEmail: info@nsjbio.com
  • Tel: 858.663.9055
  • Email: info@nsjbio.com
Home >> Antibodies >> PDGF beta Antibody

PDGF beta Antibody [clone PDGFB/3071] (V9320)

  Catalog No Formulation Size Price (USD)  
Image V9320-100UG 0.2 mg/ml in 1X PBS with 0.1 mg/ml BSA (US sourced), 0.05% sodium azide 100 ug 539
Image
V9320-20UG 0.2 mg/ml in 1X PBS with 0.1 mg/ml BSA (US sourced), 0.05% sodium azide 20 ug 249
Image
V9320SAF-100UG 1 mg/ml in 1X PBS; BSA free, sodium azide free 100 ug 539
Microvalidated
Bulk quote request
Analysis of HuProt(TM) microarray containing more than 19,000 full-length human proteins using PDGF beta antibody (clone PDGFB/3071). These results demonstrate the foremost specificity of the PDGFB/3071 mAb. Z- and S- score: The Z-score represents the strength of a signal that an antibody (in combination with a fluorescently-tagged anti-IgG secondary Ab) produces when binding to a particular protein on the HuProt(TM) array. Z-scores are described in units of standard deviations (SD's) above the mean value of all signals generated on that array. If the targets on the HuProt(TM) are arranged in descending order of the Z-score, the S-score is the difference (also in units of SD's) between the Z-scores. The S-score therefore represents the relative target specificity of an Ab to its intended target.
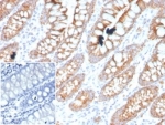
IHC staining of FFPE human colon tissue with PDGF beta antibody (clone PDGFB/3071). Negative control inset: PBS instead of primary antibody to control for secondary binding. HIER: boil tissue sections in pH 9 10mM Tris with 1mM EDTA for 20 min and allow to cool before testing.
SDS-PAGE analysis of purified, BSA-free PDGF beta antibody (clone PDGFB/3071) as confirmation of integrity and purity.
Availability 1-3 business days
Species Reactivity Human
Format Purified
Clonality Monoclonal (mouse origin)
Isotype Mouse IgG2c, kappa
Clone Name PDGFB/3071
Purity Protein A/G affinity
UniProt P01127
Localization Cytoplasm
Applications Immunohistochemistry (FFPE) : 1-2ug/ml
Limitations This PDGF beta antibody is available for research use only.
Review this product on BioCompare and get a $20 Amazon gift card

Related Products

Description

PDGF is a mitogen for mesenchyme- and glia-derived cells. It consists of two disulfide-bonded polypeptide chains, A and B, and occurs as three isoforms; PDGF AA, AB and BB. The three isoforms bind, with different affinities, to two receptor types, receptors. Evidence suggests that PDGF may function as a neurotrophic factor. Receptors for PDGF-A are expressed in oligodendrocyte progenitor cells whereas receptors for PDGF-B are expressed on neurons. These facts suggest that the different isoforms of PDGF may regulate growth and differentiation of different cell types in the developing central nervous system through paracrine and autocrine routes.

Application Notes

Optimal dilution of the PDGF beta antibody should be determined by the researcher.

Immunogen

A portion of amino acids 27-158 was used as the immunogen for the PDGF beta antibody.

Storage

Aliquot the PDGF beta antibody and store frozen at -20oC or colder. Avoid repeated freeze-thaw cycles.

Cross
Bulk Quote Request Form
Name*:
Organization*:
Email*:
Phone Number*:
Catalog No.*:
Comments and Specifics(amount, formulation, etc.)*:
Validation code: Captchapackage Image


Can't read the image? click here to refresh.
    *required field

Your bulk quote request has been submitted successfully!

Please contact us if you have any questions.