• Tel: 858.663.9055
  • SeparatorEmail: info@nsjbio.com
  • Tel: 858.663.9055
  • Email: info@nsjbio.com
Home >> Antibodies >> PDE6 alpha Antibody / PDE6A

PDE6 alpha Antibody / PDE6A (RQ5909)

  Catalog No Formulation Size Price (USD)  
Image RQ5909 0.5mg/ml if reconstituted with 0.2ml sterile DI water 100 ug 439
Bulk quote request
IHC staining of FFPE rat retina with PDE6 alpha antibody. HIER: boil tissue sections in pH8 EDTA for 20 min and allow to cool before testing.
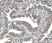
IHC staining of FFPE human rectal cancer with PDE6 alpha antibody. HIER: boil tissue sections in pH8 EDTA for 20 min and allow to cool before testing.
Immunofluorescent staining of FFPE human Caco-2 cells with PDE6 alpha antibody (green) and DAPI nuclear stain (blue). HIER: steam section in pH6 citrate buffer for 20 min.
Western blot testing of 1) rat eye and 2) mouse eye tissue with PDE6 alpha antibody. Predicted molecular weight ~100 kDa.
Flow cytometry testing of human HeLa cells with PDE6 alpha antibody at 1ug/million cells (blocked with goat sera); Red=cells alone, Green=isotype control, Blue= PDE6 alpha antibody.
Flow cytometry testing of human A549 cells with PDE6 alpha antibody at 1ug/million cells (blocked with goat sera); Red=cells alone, Green=isotype control, Blue= PDE6 alpha antibody.
Availability 1-3 business days
Species Reactivity Human, Mouse, Rat
Format Antigen affinity purified
Clonality Polyclonal (rabbit origin)
Isotype Rabbit IgG
Purity Affinity purified
Buffer Lyophilized from 1X PBS with 2% Trehalose and 0.025% sodium azide
UniProt P16499
Applications Western Blot : 0.5-1ug/ml
Immunohistochemistry : 1-2ug/ml
Immunofluorescence : 2-4ug/ml
Flow Cytometry : 1-3ug/million cells
Direct ELISA : 0.1-0.5ug/ml
Limitations This PDE6 alpha antibody is available for research use only.
Review this product on BioCompare and get a $20 Amazon gift card

Description

This gene encodes the cyclic-GMP (cGMP)-specific phosphodiesterase 6A alpha subunit, expressed in cells of the retinal rod outer segment. The phosphodiesterase 6 holoenzyme is a heterotrimer composed of an alpha, beta, and two gamma subunits. cGMP is an important regulator of rod cell membrane current, and its dynamic concentration is established by phosphodiesterase 6A cGMP hydrolysis and guanylate cyclase cGMP synthesis. The protein is a subunit of a key phototransduction enzyme and participates in processes of transmission and amplification of the visual signal. Mutations in this gene have been identified as one cause of autosomal recessive retinitis pigmentosa.

Application Notes

Optimal dilution of the PDE6 alpha antibody should be determined by the researcher.

Immunogen

Recombinant human protein (amino acids K11-R237) was used as the immunogen for the PDE6 alpha antibody.

Storage

After reconstitution, the PDE6 alpha antibody can be stored for up to one month at 4oC. For long-term, aliquot and store at -20oC. Avoid repeated freezing and thawing.

Cross
Bulk Quote Request Form
Name*:
Organization*:
Email*:
Phone Number*:
Catalog No.*:
Comments and Specifics(amount, formulation, etc.)*:
Validation code: Captchapackage Image


Can't read the image? click here to refresh.
    *required field

Your bulk quote request has been submitted successfully!

Please contact us if you have any questions.