• Tel: 858.663.9055
  • SeparatorEmail: info@nsjbio.com
  • Tel: 858.663.9055
  • Email: info@nsjbio.com
Home >> Antibodies >> PCTK1 Antibody / PCTAIRE1 / CDK16

PCTK1 Antibody / PCTAIRE1 / CDK16 (RQ6042)

  Catalog No Formulation Size Price (USD)  
Image RQ6042 0.5mg/ml if reconstituted with 0.2ml sterile DI water 100 ug 439
Bulk quote request
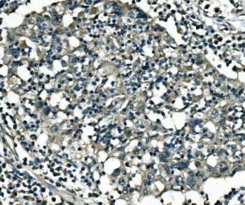
IHC staining of FFPE human lung cancer with PCTAIRE1 antibody. HIER: boil tissue sections in pH8 EDTA for 20 min and allow to cool before testing.
Western blot testing of 1) human Caco-2, 2) rat PC-12 and 3) mouse NIH 3T3 lysate with PCTAIRE1 antibody. Predicted molecular weight ~56 kDa.
Flow cytometry testing of human 293T cells with PCTK1 antibody at 1ug/million cells (blocked with goat sera); Red=cells alone, Green=isotype control, Blue= PCTK1 antibody.
Flow cytometry testing of human U-2 OS cells with PCTK1 antibody at 1ug/million cells (blocked with goat sera); Red=cells alone, Green=isotype control, Blue= PCTK1 antibody.
Availability 1-3 business days
Species Reactivity Human, Mouse, Rat
Format Antigen affinity purified
Clonality Polyclonal (rabbit origin)
Isotype Rabbit IgG
Purity Affinity purified
Buffer Lyophilized from 1X PBS with 2% Trehalose and 0.025% sodium azide
UniProt Q00536
Localization Cytoplasmic, plasma membrane
Applications Western Blot : 0.5-1ug/ml
Immunohistochemistry : 1-2ug/ml
Flow Cytometry : 1-3ug/million cells
Direct ELISA : 0.1-0.5ug/ml
Limitations This PCTK1 antibody is available for research use only.
Review this product on BioCompare and get a $20 Amazon gift card

Related Products

Description

PCTK1 antibody detects PCTAIRE1, also known as Cyclin-dependent kinase 16 (CDK16), a serine/threonine protein kinase involved in vesicle trafficking, neurite outgrowth, and signal transduction. The UniProt recommended name is Cyclin-dependent kinase 16 (CDK16). This enzyme is part of the cyclin-dependent kinase family but is distinguished by its atypical activation mechanism, which requires association with cyclin Y rather than traditional cyclins controlling cell cycle progression.

Functionally, PCTK1 antibody identifies a kinase of approximately 496 amino acids that localizes to both cytoplasmic and membrane-associated compartments. PCTAIRE1 regulates multiple cellular processes including endocytosis, exocytosis, and neuronal differentiation. Through phosphorylation of downstream substrates, it modulates synaptic vesicle trafficking, protein transport, and cytoskeletal reorganization. CDK16 is also implicated in spermatogenesis and insulin signaling, where it regulates exocytotic vesicle release and glucose transporter translocation.

The PCTK1 gene is located on chromosome Xp22.13 and exhibits broad tissue expression, with high levels in the brain, testis, and skeletal muscle. In neurons, PCTAIRE1 contributes to neurite extension and axon guidance, functioning downstream of cAMP-dependent signaling pathways. In the testis, it plays an essential role in spermatid development and maturation. Expression and activity of CDK16 are tightly regulated through interactions with cyclin Y and phosphorylation at conserved residues that modulate catalytic efficiency.

Pathologically, dysregulation of PCTK1/CDK16 signaling has been associated with neurological disorders, metabolic dysfunction, and tumor progression. Overexpression of CDK16 has been reported in several cancers, including breast and prostate carcinoma, where it promotes proliferation, survival, and cell migration through phosphorylation of substrates involved in cytoskeletal organization and signaling. In neuronal systems, aberrant PCTAIRE1 function has been linked to neurodevelopmental impairment and synaptic dysfunction. Research using PCTK1 antibody supports studies in kinase signaling, neuronal development, and cancer biology.

PCTK1 antibody is validated for use in relevant research applications to detect Cyclin-dependent kinase 16 and study its role in vesicle trafficking, cytoskeletal regulation, and signal transduction. NSJ Bioreagents provides PCTK1 antibody reagents optimized for studies in neuroscience, oncology, and cell signaling research.

Application Notes

Optimal dilution of the PCTK1 antibody should be determined by the researcher.

Immunogen

Recombinant human protein (amino acids N392-H443) was used as the immunogen for the PCTK1 antibody.

Storage

After reconstitution, the PCTK1 antibody can be stored for up to one month at 4oC. For long-term, aliquot and store at -20oC. Avoid repeated freezing and thawing.

Cross
Bulk Quote Request Form
Name*:
Organization*:
Email*:
Phone Number*:
Catalog No.*:
Comments and Specifics(amount, formulation, etc.)*:
Validation code: Captchapackage Image


Can't read the image? click here to refresh.
    *required field

Your bulk quote request has been submitted successfully!

Please contact us if you have any questions.