• Tel: 858.663.9055
  • SeparatorEmail: info@nsjbio.com
  • Tel: 858.663.9055
  • Email: info@nsjbio.com
Home >> Antibodies >> PCSK9 Antibody

PCSK9 Antibody (R31245)

  Catalog No Formulation Size Price (USD)  
Image R31245 0.5mg/ml if reconstituted with 0.2ml sterile DI water 100 ug 439
Bulk quote request
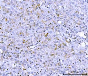
IHC staining of FFPE human liver cancer tissue with PCSK9 antibody. HIER: boil tissue sections in pH8 EDTA for 20 min and allow to cool before testing.
Western blot testing of human 1) A431, 2) HepG2 and 3) MCF7 cell lysate with PCSK9 antibody. Predicted molecular weight: ~74 kDa (pro form), ~64 kDa (mature form).
Availability 1-3 business days
Species Reactivity Human
Format Antigen affinity purified
Clonality Polyclonal (rabbit origin)
Isotype Rabbit IgG
Purity Antigen affinity
Buffer Lyophilized from 1X PBS with 2% Trehalose
UniProt Q8NBP7
Localization Cell surface, cytoplasm, secreted
Applications Western Blot : 0.5-1ug/ml
Immunohistochemistry (FFPE) : 2-5ug/ml
Limitations This PCSK9 antibody is available for research use only.
Review this product on BioCompare and get a $20 Amazon gift card

Related Products

  • Applications : FACS, IHC, WB, ELISA
    Reactivity : Human
  • Applications : IHC, FACS, WB, ELISA
    Reactivity : Human
  • Applications : WB, ELISA
    Reactivity : Human
  • Applications : WB, IHC-P, ELISA (peptide)
    Reactivity : Human
  • Applications : WB (transfected), ELISA (peptide)
    Reactivity : Human
  • Applications : WB (transfected), ELISA (peptide)
    Reactivity : Human
    Pred. Reactivity : Mouse, Rat
  • Applications : WB, IHC-P, Direct ELISA
    Reactivity : Human
  • Applications : WB, Direct ELISA
    Reactivity : Mouse, Rat

Description

Proprotein convertase subtilisin/kexin type 9 is an enzyme that in humans is encoded by the PCSK9 gene. This gene encodes a proprotein convertase belonging to the proteinase K subfamily of the secretory subtilase family. By genomic sequence analysis, PCSK9 was mapped to chromosome 1p32. This gene is a crucial player in the regulation of plasma cholesterol homeostasis. It may prevent the recycling of LDLR from endosomes to the cell surface or direct it to lysosomes for degradation. It can induce ubiquitination of LDLR leading to its subsequent degradation. This gene is involved in the disposal of non-acetylated intermediates of BACE1 in the early secretory pathway.

Application Notes

The stated application concentrations are suggested starting points. Titration of the PCSK9 antibody may be required due to differences in protocols and secondary/substrate sensitivity.

Immunogen

Amino acids 671-687 (AVTAVAICCRSRHLAQA-human) were used as the immunogen for this PCSK9 antibody.

Storage

After reconstitution, the PCSK9 antibody can be stored for up to one month at 4oC. For long-term, aliquot and store at -20oC. Avoid repeated freezing and thawing.

Cross
Bulk Quote Request Form
Name*:
Organization*:
Email*:
Phone Number*:
Catalog No.*:
Comments and Specifics(amount, formulation, etc.)*:
Validation code: Captchapackage Image


Can't read the image? click here to refresh.
    *required field

Your bulk quote request has been submitted successfully!

Please contact us if you have any questions.