• Tel: 858.663.9055
  • SeparatorEmail: info@nsjbio.com
  • Tel: 858.663.9055
  • Email: info@nsjbio.com
Home >> Antibodies >> PCSK6 Antibody / PACE4

PCSK6 Antibody / PACE4 (R36373)

  Catalog No Formulation Size Price (USD)  
Image R36373-100UG 0.5 mg/ml in 1X TBS, pH7.3, with 0.5% BSA (US sourced) and 0.02% sodium azide 100 ug 449
Bulk quote request
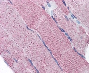
IHC testing of FFPE human skeletal muscle and PCSK6 antibody at 5ug/ml. HIER: steamed with pH6 citrate buffer, AP-staining.
Availability 1-3 business days
Species Reactivity Human
Format Antigen affinity purified
Clonality Polyclonal (goat origin)
Isotype Goat Ig
Purity Antigen affinity
Gene ID 5046
Applications Immunohistochemistry (FFPE) : 5-10ug/ml
ELISA (peptide) LOD : 1:32000
Limitations This PCSK6 antibody is available for research use only.
Review this product on BioCompare and get a $20 Amazon gift card

Related Products

  • Applications : WB, ELISA
    Reactivity : Human
  • Applications : WB
    Reactivity : Human, Rat

Description

Additional name(s) for this target protein: Proprotein convertase subtilisin/kexin type 6

Application Notes

Optimal dilution of the PCSK6 antibody should be determined by the researcher.

1. This PCSK6 antibody is specific for isoforms a/b/g/h.

Immunogen

Amino acids YHTFSAHQSRSR were used as the immunogen for this PCSK6 antibody.

Storage

Aliquot and store the PCSK6 antibody at -20oC.

Cross
Bulk Quote Request Form
Name*:
Organization*:
Email*:
Phone Number*:
Catalog No.*:
Comments and Specifics(amount, formulation, etc.)*:
Validation code: Captchapackage Image


Can't read the image? click here to refresh.
    *required field

Your bulk quote request has been submitted successfully!

Please contact us if you have any questions.