• Tel: 858.663.9055
  • SeparatorEmail: info@nsjbio.com
  • Tel: 858.663.9055
  • Email: info@nsjbio.com
Home >> Antibodies >> PCPE1 Antibody / Procollagen C-endopeptidase enhancer 1

PCPE1 Antibody / Procollagen C-endopeptidase enhancer 1 (RQ8742)

  Catalog No Formulation Size Price (USD)  
Image RQ8742 0.5mg/ml if reconstituted with 0.2ml sterile DI water 100 ug 439
Bulk quote request
IHC staining of FFPE human tonsil tissue with PCPE1 antibody. HIER: boil tissue sections in pH8 EDTA for 20 min and allow to cool before testing.
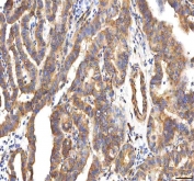
IHC staining of FFPE human thyroid papillary carcinoma tissue with PCPE1 antibody. HIER: boil tissue sections in pH8 EDTA for 20 min and allow to cool before testing.
Western blot testing of human 1) HeLa and 2) SH-SY5Y cell lysate with PCPE1 antibody. Predicted molecular weight ~48 kDa.
Flow cytometry testing of fixed human SH-SY5Y cells with PCPE1 antibody at 1ug/million cells (blocked with goat sera); Red=cells alone, Green=isotype control, Blue= PCPE1 antibody.
Availability 1-3 days
Species Reactivity Human
Format Antigen affinity purified
Clonality Polyclonal (rabbit origin)
Isotype Rabbit IgG
Purity Antigen affinity chromatography
Buffer Lyophilized from 1X PBS with 2% Trehalose
UniProt Q15113
Applications Western Blot : 1-2ug/ml
Immunohistochemistry (FFPE) : 2-5ug/ml
Flow Cytometry : 1-3ug/million cells
ELISA : 0.1-0.5ug/ml
Limitations This PCPE1 antibody is available for research use only.
Review this product on BioCompare and get a $20 Amazon gift card

Related Products

Description

Procollagen C-endopeptidase enhancer 1 is an enzyme that in humans is encoded by the PCOLCE gene. Fibrillar collagen types I-III are synthesized as precursor molecules known as procollagens. These precursors contain amino- and carboxyl-terminal peptide extensions known as N- and C-propeptides, respectively, which are cleaved, upon secretion of procollagen from the cell, to yield the mature triple helical, highly structured fibrils. This gene encodes a glycoprotein which binds and drives the enzymatic cleavage of type I procollagen and heightens C-proteinase activity.

Application Notes

Optimal dilution of the PCPE1 antibody should be determined by the researcher.

Immunogen

An E.coli-derived human recombinant protein (amino acids R162-D449) was used as the immunogen for the PCPE1 antibody.

Storage

After reconstitution, the PCPE1 antibody can be stored for up to one month at 4oC. For long-term, aliquot and store at -20oC. Avoid repeated freezing and thawing.

Cross
Bulk Quote Request Form
Name*:
Organization*:
Email*:
Phone Number*:
Catalog No.*:
Comments and Specifics(amount, formulation, etc.)*:
Validation code: Captchapackage Image


Can't read the image? click here to refresh.
    *required field

Your bulk quote request has been submitted successfully!

Please contact us if you have any questions.