• Tel: 858.663.9055
  • SeparatorEmail: info@nsjbio.com
  • Tel: 858.663.9055
  • Email: info@nsjbio.com
Home >> Antibodies >> PCNA Antibody

PCNA Antibody [clone DO-16] (RQ5380)

  Catalog No Formulation Size Price (USD)  
Image RQ5380 Antibody in PBS with 0.02% sodium azide, 50% glycerol and 0.4-0.5mg/ml BSA 100 ul 439
Microvalidated Rab Mono Image
Bulk quote request
Western blot testing of 1) human HeLa, 2) human HepG2, 3) human U937 and 4) mouse spleen lysate with PCNA antibody. Predicted molecular weight ~29 kDa, routinely observed at 29~36 kDa.
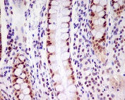
IHC staining of FFPE human colon tissue with PCNA antibody. HIER: boil tissue sections in pH6, 10mM citrate buffer, for 10-20 min and allow to cool before testing.
Availability 1-2 weeks
Species Reactivity Human, Mouse
Format Purified
Clonality Rabbit Monoclonal
Isotype Rabbit IgG
Clone Name DO-16
Purity Affinity purified
UniProt P12004
Localization Nuclear
Applications Western Blot : 1:3000-1:10000
Immunohistochemistry (FFPE) : 1:50-1:200
Limitations This PCNA antibody is available for research use only.
Review this product on BioCompare and get a $20 Amazon gift card

Related Products

  • Applications : WB, IHC-P
    Reactivity : Human
    Recrabbitmono
  • Applications : IHC-P, WB
    Reactivity : Human
    Recrabbitmono
  • Applications : FACS, IF, WB, IHC-P
    Reactivity : Human, Mouse, Rat
    Citation  Citations(11)
  • Applications : IHC, WB, ELISA
    Reactivity : Human, Mouse, Rat
    Pred. Reactivity : Bovine, Hamster, Primate
  • Applications : FACS, WB, IHC-P
    Reactivity : Human
  • Applications : IHC-P, WB
    Reactivity : Human
  • Applications : WB, IHC-P, FACS
    Reactivity : Human
  • Applications : WB, IHC-P
    Reactivity : Human, Mouse, Rat
  • Applications : WB, FACS, IHC-P
    Reactivity : Human
  • Applications : WB, IHC-P
    Reactivity : Human
  • Applications : IHC, IF, WB, ELISA
    Reactivity : Human
    Pred. Reactivity : Rat, Bovine, Primate, Hamster
  • Applications : WB, IHC, IF, FACS, ELISA
    Reactivity : Human
    Pred. Reactivity : Mouse, Rat, Bovine, Primate, Chicken, Hamster
  • Applications : WB, ELISA (peptide), EIA
    Reactivity : Human, Mouse, Rat, Pig
    Pred. Reactivity : Dog, Cow
  • Applications : WB, ELISA (peptide), EIA
    Reactivity : Human, Mouse, Rat, Pig
    Pred. Reactivity : Dog, Cow
  • Applications : WB, ELISA (peptide), EIA
    Reactivity : Human, Mouse, Rat, Pig
    Pred. Reactivity : Dog, Cow
  • Applications : WB, IHC-P, FACS, IF, Direct ELISA
    Reactivity : Human, Mouse, Rat

Description

The protein encoded by this gene is found in the nucleus and is a cofactor of DNA polymerase delta. The encoded protein acts as a homotrimer and helps increase the processivity of leading strand synthesis during DNA replication. In response to DNA damage, this protein is ubiquitinated and is involved in the RAD6-dependent DNA repair pathway. Two transcript variants encoding the same protein have been found for this gene. [RefSeq]

Application Notes

Optimal dilution of the PCNA antibody should be determined by the researcher.

Immunogen

A synthetic peptide specific to human PCNA was used as the immunogen for the PCNA antibody.

Storage

Store the PCNA antibody at -20oC.

Cross
Bulk Quote Request Form
Name*:
Organization*:
Email*:
Phone Number*:
Catalog No.*:
Comments and Specifics(amount, formulation, etc.)*:
Validation code: Captchapackage Image


Can't read the image? click here to refresh.
    *required field

Your bulk quote request has been submitted successfully!

Please contact us if you have any questions.