• Tel: 858.663.9055
  • SeparatorEmail: info@nsjbio.com
  • Tel: 858.663.9055
  • Email: info@nsjbio.com
Home >> Antibodies >> PCCA Antibody / Propionyl-CoA carboxylase alpha

PCCA Antibody / Propionyl-CoA carboxylase alpha (RQ8789)

  Catalog No Formulation Size Price (USD)  
Image RQ8789 0.5mg/ml if reconstituted with 0.2ml sterile DI water 100 ug 439
Bulk quote request
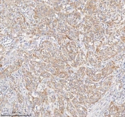
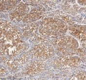
IHC staining of FFPE human liver cancer tissue with PCCA antibody. HIER: boil tissue sections in pH8 EDTA for 20 min and allow to cool before testing.
IHC staining of FFPE human liver cancer tissue with PCCA antibody. HIER: boil tissue sections in pH8 EDTA for 20 min and allow to cool before testing.
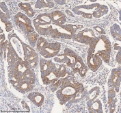
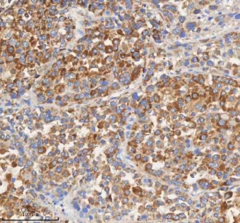
IHC staining of FFPE human colon adenocarcinoma tissue with PCCA antibody. HIER: boil tissue sections in pH8 EDTA for 20 min and allow to cool before testing.
IHC staining of FFPE human colon adenocarcinoma tissue with PCCA antibody. HIER: boil tissue sections in pH8 EDTA for 20 min and allow to cool before testing.
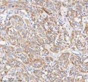
IHC staining of FFPE human urothelial carcinoma tissue with PCCA antibody. HIER: boil tissue sections in pH8 EDTA for 20 min and allow to cool before testing.
IHC staining of FFPE human urothelial carcinoma tissue with PCCA antibody. HIER: boil tissue sections in pH8 EDTA for 20 min and allow to cool before testing.
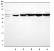
Western blot testing of 1) human 293T, 2) human HepG2, 3) rat liver, 4) rat kidney, 5) mouse liver and 6) mouse kidney tissue lysate with PCCA antibody. Predicted molecular weight: 75-80 kDa (multiple isoforms).
Flow cytometry testing of fixed and permeabilized human HepG2 cells with PCCA antibody at 1ug/million cells (blocked with goat sera); Red=cells alone, Green=isotype control, Blue= PCCA antibody.
Availability 1-3 days
Species Reactivity Human, Mouse, Rat
Format Antigen affinity purified
Clonality Polyclonal (rabbit origin)
Isotype Rabbit IgG
Purity Antigen affinity chromatography
Buffer Lyophilized from 1X PBS with 2% Trehalose
UniProt P05165
Localization Cytoplasm
Applications Western Blot : 1-2ug/ml
Immunohistochemistry (FFPE) : 2-5ug/ml
Flow Cytometry : 1-3ug/million cells
ELISA : 0.1-0.5ug/ml
Limitations This PCCA antibody is available for research use only.
Review this product on BioCompare and get a $20 Amazon gift card

Related Products

Description

The protein encoded by this gene is the alpha subunit of the heterodimeric mitochondrial enzyme Propionyl-CoA carboxylase. PCCA encodes the biotin-binding region of this enzyme. Mutations in either PCCA or PCCB (encoding the beta subunit) lead to an enzyme deficiency resulting in propionic acidemia. Multiple transcript variants encoding different isoforms have been found for this gene.

Application Notes

Optimal dilution of the PCCA antibody should be determined by the researcher.

Immunogen

An E.coli-derived human recombinant protein (amino acids E403-E728) was used as the immunogen for the PCCA antibody.

Storage

After reconstitution, the PCCA antibody can be stored for up to one month at 4oC. For long-term, aliquot and store at -20oC. Avoid repeated freezing and thawing.

Cross
Bulk Quote Request Form
Name*:
Organization*:
Email*:
Phone Number*:
Catalog No.*:
Comments and Specifics(amount, formulation, etc.)*:
Validation code: Captchapackage Image


Can't read the image? click here to refresh.
    *required field

Your bulk quote request has been submitted successfully!

Please contact us if you have any questions.