• Tel: 858.663.9055
  • SeparatorEmail: info@nsjbio.com
  • Tel: 858.663.9055
  • Email: info@nsjbio.com
Home >> Antibodies >> PCCA Antibody / Propionyl-CoA carboxylase alpha

PCCA Antibody / Propionyl-CoA carboxylase alpha (F54236)

  Catalog No Formulation Size Price (USD)  
Image F54236-0.4ML In 1X PBS, pH 7.4, with 0.09% sodium azide 0.4 ml 429
Image
F54236-0.08ML In 1X PBS, pH 7.4, with 0.09% sodium azide 0.08 ml 199
Bulk quote request
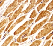
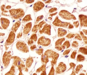
IHC testing of FFPE human heart tissue with PCCA antibody. HIER: steam section in pH6 citrate buffer for 20 min and allow to cool prior to staining.
IHC testing of FFPE human heart tissue with PCCA antibody. HIER: steam section in pH6 citrate buffer for 20 min and allow to cool prior to staining.
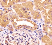
IHC testing of FFPE human kidney tissue with PCCA antibody. HIER: steam section in pH6 citrate buffer for 20 min and allow to cool prior to staining.
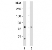
Western blot testing of 1) rat cerebellum and 2) human liver lysate with PCCA antibody. Predicted molecular weight ~80 kDa.
Western blot testing of 1) human liver and 2) mouse NIH3T3 lysate with PCCA antibody. Predicted molecular weight ~80 kDa.
Western blot testing of 1) human HeLa and 2) rat cerebellum lysate with PCCA antibody. Predicted molecular weight ~80 kDa.
Western blot testing of human A549 cell lysate with PCCA antibody. Predicted molecular weight ~80 kDa.
Availability 1-3 business days
Species Reactivity Human, Mouse, Rat
Format Purified
Clonality Polyclonal (rabbit origin)
Isotype Rabbit Ig
Purity Antigen affinity purified
UniProt P05165
Gene ID 5095
Applications Western Blot : 1:1000-1:2000
Immunohistochemistry (FFPE) : 1:25
Limitations This PCCA antibody is available for research use only.
Review this product on BioCompare and get a $20 Amazon gift card

Related Products

Description

The protein encoded by this gene is the alpha subunit of the heterodimeric mitochondrial enzyme Propionyl-CoA carboxylase. PCCA encodes the biotin-binding region of this enzyme. Mutations in either PCCA or PCCB (encoding the beta subunit) lead to an enzyme deficiency resulting in propionic acidemia. Multiple transcript variants encoding different isoforms have been found for this gene.

Application Notes

The stated application concentrations are suggested starting points. Titration of the PCCA antibody may be required due to differences in protocols and secondary/substrate sensitivity.

Immunogen

A portion of amino acids 362-390 from the human protein were used as the immunogen for the PCCA antibody.

Storage

Aliquot the PCCA antibody and store frozen at -20oC or colder. Avoid repeated freeze-thaw cycles.

Cross
Bulk Quote Request Form
Name*:
Organization*:
Email*:
Phone Number*:
Catalog No.*:
Comments and Specifics(amount, formulation, etc.)*:
Validation code: Captchapackage Image


Can't read the image? click here to refresh.
    *required field

Your bulk quote request has been submitted successfully!

Please contact us if you have any questions.