• Tel: 858.663.9055
  • SeparatorEmail: info@nsjbio.com
  • Tel: 858.663.9055
  • Email: info@nsjbio.com
Home >> Antibodies >> PC4 Antibody / Positive cofactor 4 / SUB1

PC4 Antibody / Positive cofactor 4 / SUB1 (R32566)

  Catalog No Formulation Size Price (USD)  
Image R32566 0.5mg/ml if reconstituted with 0.2ml sterile DI water 100 ug 439
Bulk quote request
Western blot testing of 1) rat liver, 2) rat spleen, 3) rat stomach, 4) rat RH35, 5) mouse liver and 6) mouse spleen tissue lysate with PC4 antibody. Expected molecular weight: 15-19 kDa (unmodified) and ~26 kDa (phosphorylated).
Western blot testing of human 1) HeLa, 2) A549, 3) MCF7, 4) T-47D, 5) PC-3, 6) Jurkat, 7) human placenta and 8) HL60 cell lysate with PC4 antibody. Expected molecular weight: 15-19 kDa (unmodified) and ~26 kDa (phosphorylated).
Immunofluorescent staining of FFPE human intestinal cancer tissue with PC4 antibody (green) and DAPI nuclear stain (blue). HIER: steam section in pH8 ETDA for 20 min.
IHC staining of FFPE type 1 human endometrioid adenocarcinoma tissue with PC4 antibody. HIER: boil tissue sections in pH8 EDTA for 20 min and allow to cool before testing.
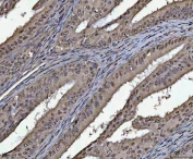
IHC staining of FFPE human esophageal squamous carcinoma tissue with PC4 antibody. HIER: boil tissue sections in pH8 EDTA for 20 min and allow to cool before testing.
Availability 1-3 business days
Species Reactivity Human, Mouse, Rat
Format Antigen affinity purified
Clonality Polyclonal (rabbit origin)
Isotype Rabbit IgG
Purity Antigen affinity
Buffer Lyophilized from 1X PBS with 2% Trehalose
UniProt P53999
Localization Nuclear
Applications Western Blot : 0.5-1ug/ml
Immunohistochemistry (FFPE) : 2-5ug/ml
Immunofluorescence : 5ug/ml
Limitations This PC4 antibody is available for research use only.
Review this product on BioCompare and get a $20 Amazon gift card

Related Products

Description

Activated RNA polymerase II transcriptional coactivator p15, also known as Positive cofactor 4 (PC4) or SUB1 homolog, is a protein that in humans is encoded by the SUB1 gene. This gene is mapped to 5p13.3. The transcriptional cofactor PC4 is an ancient single-strand DNA (ssDNA)-binding protein that has a homologue in bacteriophage T5 where it is likely the elusive replicative ssDNA-binding protein. The recombinant PC4 is shown to function identically to the native protein through its interaction with TAFs.

Application Notes

Differences in protocols and secondary/substrate sensitivity may require the PC4 antibody to be titrated for optimal performance.

Immunogen

Amino acids 96-127 (MKPGRKGISLNPEQWSQLKEQISDIDDAVRKL) from the human protein were used as the immunogen for the PC4 antibody.

Storage

After reconstitution, the PC4 antibody can be stored for up to one month at 4oC. For long-term, aliquot and store at -20oC. Avoid repeated freezing and thawing.

Cross
Bulk Quote Request Form
Name*:
Organization*:
Email*:
Phone Number*:
Catalog No.*:
Comments and Specifics(amount, formulation, etc.)*:
Validation code: Captchapackage Image


Can't read the image? click here to refresh.
    *required field

Your bulk quote request has been submitted successfully!

Please contact us if you have any questions.