• Tel: 858.663.9055
  • SeparatorEmail: info@nsjbio.com
  • Tel: 858.663.9055
  • Email: info@nsjbio.com
Home >> Antibodies >> PC-1 Antibody / ENPP1

PC-1 Antibody / ENPP1 (RQ6984)

  Catalog No Formulation Size Price (USD)  
Image RQ6984 0.5mg/ml if reconstituted with 0.2ml sterile DI water 100 ug 439
Bulk quote request
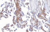
IHC staining of FFPE human liver cancer tissue with PC-1 antibody. HIER: boil tissue sections in pH8 EDTA for 20 min and allow to cool before testing.
IHC staining of FFPE human placental tissue with PC-1 antibody. HIER: boil tissue sections in pH8 EDTA for 20 min and allow to cool before testing.
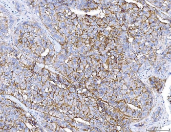
IHC staining of FFPE human endometrial cancer tissue with PC-1 antibody. HIER: boil tissue sections in pH8 EDTA for 20 min and allow to cool before testing.
Western blot testing of human 1) HepG2 and 2) HCCP cell lysate with PC-1 antibody. Predicted molecular weight ~105 kDa but commonly observed at up to ~140 kDa.
Flow cytometry testing of human HepG2 cells with PC-1 antibody at 1ug/million cells (blocked with goat sera); Red=cells alone, Green=isotype control, Blue= PC-1 antibody.
Availability 1-3 business days
Species Reactivity Human
Format Antigen affinity purified
Clonality Polyclonal (rabbit origin)
Isotype Rabbit IgG
Purity Antigen affinity purified
Buffer Lyophilized from 1X PBS with 2% Trehalose
UniProt P22413
Localization Cell membrane, secreted
Applications Western Blot : 0.5-1 ug/ml
Immunohistochemistry (FFPE) : 2-5ug/ml
Flow Cytometry : 1-3ug/million cells
Direct ELISA : 0.1-0.5ug/ml
Limitations This PC-1 antibody is available for research use only.
Review this product on BioCompare and get a $20 Amazon gift card

Related Products

Description

Ectonucleotide pyrophosphatase/phosphodiesterase family member 1 (PC-1, CD203a) is an enzyme that in humans is encoded by the ENPP1 gene. This gene is a member of the ecto-nucleotide pyrophosphatase/phosphodiesterase (ENPP) family. The encoded protein is a type II transmembrane glycoprotein comprising two identical disulfide-bonded subunits. This protein has broad specificity and cleaves a variety of substrates, including phosphodiester bonds of nucleotides and nucleotide sugars and pyrophosphate bonds of nucleotides and nucleotide sugars. This protein may function to hydrolyze nucleoside 5' triphosphates to their corresponding monophosphates and may also hydrolyze diadenosine polyphosphates. Mutations in this gene have been associated with 'idiopathic' infantile arterial calcification, ossification of the posterior longitudinal ligament of the spine (OPLL), and insulin resistance.

Application Notes

Optimal dilution of the PC-1 antibody should be determined by the researcher.

Immunogen

Recombinant human protein (amino acids E347-N789) was used as the immunogen for the PC-1 antibody.

Storage

After reconstitution, the PC-1 antibody can be stored for up to one month at 4oC. For long-term, aliquot and store at -20oC. Avoid repeated freezing and thawing.

Cross
Bulk Quote Request Form
Name*:
Organization*:
Email*:
Phone Number*:
Catalog No.*:
Comments and Specifics(amount, formulation, etc.)*:
Validation code: Captchapackage Image


Can't read the image? click here to refresh.
    *required field

Your bulk quote request has been submitted successfully!

Please contact us if you have any questions.