• Tel: 858.663.9055
  • SeparatorEmail: info@nsjbio.com
  • Tel: 858.663.9055
  • Email: info@nsjbio.com
Home >> Antibodies >> PBP Antibody / PEBP1 / RKIP

PBP Antibody / PEBP1 / RKIP (R30803)

  Catalog No Formulation Size Price (USD)  
Image R30803 0.5mg/ml if reconstituted with 0.2ml sterile DI water 100 ug 439
Bulk quote request
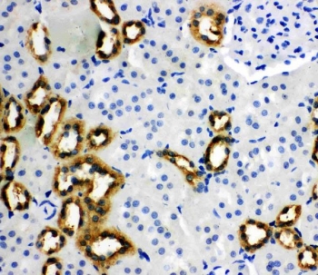
IHC-P: PBP antibody testing of rat kidney tissue.
Western blot testing of 1) rat brain, 2) rat liver, 3) mouse brain and 4) mouse liver tissue lysate with PBP antibody. Predicted molecular weight: ~21 kDa.
Availability 1-3 business days
Species Reactivity Mouse, Rat
Format Antigen affinity purified
Clonality Polyclonal (rabbit origin)
Isotype Rabbit IgG
Purity Antigen affinity
Buffer Lyophilized from 1X PBS with 2.5% BSA and 0.025% sodium azide/thimerosal
UniProt P70296
Applications Western Blot : 0.5-1ug/ml
Immunohistochemistry (FFPE) : 0.5-1ug/ml
Limitations This PBP antibody is available for research use only.
Review this product on BioCompare and get a $20 Amazon gift card

Related Products

  • Applications : WB, IHC, ELISA (peptide)
    Reactivity : Human
    Pred. Reactivity : Cow, Dog, Mouse, Pig, Rat
  • Applications : WB, IHC-P, ELISA (peptide)
    Reactivity : Human, Mouse
    Pred. Reactivity : Cow, Dog, Rat
  • Applications : WB, ELISA (peptide)
    Reactivity : Human
    Pred. Reactivity : Cow, Dog, Mouse, Pig, Rat
  • Applications : WB, IHC-P, FACS
    Reactivity : Human, Mouse
  • Applications : IHC-P, WB
    Reactivity : Human
  • Applications : WB, IHC-P
    Reactivity : Human, Mouse

Description

Phosphatidylethanolamine-binding protein inhibits the phosphorylation and activation of MEK by RAF1. PBP coimmunoprecipitates with RAF1 and MEK from cell lysates and colocalizes with RAF1 when examined by confocal microscopy. Overexpression interferes with the activation of MEK and ERK, induction of AP1-dependent reporter genes, and transformation elicited by an oncogenically activated RAF1 kinase. PBP expression was rapidly upregulated during induction of chemotherapy-triggered apoptosis in human prostate and breast cancer cell lines, and maximal expression correlated perfectly with the onset of apoptosis by Chatterjee et al(2004). Depletion of the protein decreased the mitotic index, the number of metaphase cells, traversal times from nuclear envelope breakdown to anaphase, and an override of mitotic checkpoints induced by spindle poisons.

Application Notes

The stated application concentrations are suggested starting amounts. Titration of the PBP antibody may be required due to differences in protocols and secondary/substrate sensitivity.

Immunogen

An amino acid sequence from the N-terminus of mouse PBP (QEVDEPPQHALRVDY) was used as the immunogen for this PBP antibody (100% rat homology).

Storage

After reconstitution, the PBP antibody can be stored for up to one month at 4oC. For long-term, aliquot and store at -20oC. Avoid repeated freezing and thawing.

Cross
Bulk Quote Request Form
Name*:
Organization*:
Email*:
Phone Number*:
Catalog No.*:
Comments and Specifics(amount, formulation, etc.)*:
Validation code: Captchapackage Image


Can't read the image? click here to refresh.
    *required field

Your bulk quote request has been submitted successfully!

Please contact us if you have any questions.