• Tel: 858.663.9055
  • SeparatorEmail: info@nsjbio.com
  • Tel: 858.663.9055
  • Email: info@nsjbio.com
Home >> Antibodies >> Paxillin Antibody / PXN

Paxillin Antibody / PXN (R30902)

  Catalog No Formulation Size Price (USD)  
Image R30902 0.5mg/ml if reconstituted with 0.2ml sterile DI water 100 ug 439
Bulk quote request
Immunofluorescent staining of FFPE human breast cancer tissue with Paxillin antibody (red) and DAPI nuclear stain (blue). HIER: steam section in pH8 EDTA buffer for 20 min.
Immunofluorescent staining of FFPE human PC3 cells with Paxillin antibody (green) and DAPI nuclear stain (blue). HIER: steam section in pH6 citrate buffer for 20 min.
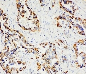
IHC staining of FFPE human lung cancer tissue with Paxillin antibody.
IHC staining of frozen rat kidney tissue with Paxillin antibody.
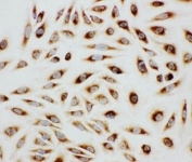
ICC testing of Paxillin antibody and HeLa cells.
Western blot testing of human 1) 293T; 2) HeLa; 3) MCF-7; 4) MM231; 5) Jurkat cell lysate. Predicted molecular weight: 61/65/66 kDa (alpha/beta/gamma).
Flow cytometry testing of human A549 cells with Paxillin antibody at 1ug/million cells (blocked with goat sera); Red=cells alone, Green=isotype control, Blue= Paxillin antibody.
Availability 1-3 business days
Species Reactivity Human, Mouse, Rat
Format Antigen affinity purified
Clonality Polyclonal (rabbit origin)
Isotype Rabbit IgG
Purity Antigen affinity
Buffer Lyophilized from 1X PBS with 2.5% BSA and 0.025% sodium azide/thimerosal
UniProt P49023
Applications Western Blot : 0.5-1ug/ml
Immunohistochemistry (FFPE) : 0.5-1ug/ml
Iimmunohistochemistry (Frozen) : 0.5-1ug/ml
Immunocytochemistry : 0.5-1ug/ml
Immunofluorescence : 5ug/ml
Flow Cytometry : 1-3ug/million cells
Limitations This Paxillin antibody is available for research use only.
Review this product on BioCompare and get a $20 Amazon gift card

Related Products

Description

Paxillin is a signal transduction adaptor protein discovered in 1990 in the laboratory of Keith Burridge. Salgia et al.(1995) mapped the gene to 12q24 using fluorescence in situ hybridization.The C-terminal region of Paxillin contains four LIM domains that target paxillin to focal adhesions, it is presumed through a direct association with the cytoplasmic tail of beta-integrin. The N-terminal region is rich in protein-protein interaction sites. The proteins that bind to Paxillin are diverse and include protein tyrosine kinases, such as Src and FAK, structural proteins, such as vinculin and actopaxin, and regulators of actin organization, such as COOL/PIX and PKL/GIT. Paxillin is tyrosine-phosphorylated by FAK and Src upon integrin engagement or growth factor stimulation, creating binding sites for the adapter protein Crk. The protein contains 4 LIM domains, a proline-rich domain containing a consensus SH3-binding site, and 3 potential SH2-binding sites.

Application Notes

The stated application concentrations are suggested starting amounts. Titration of the Paxillin antibody may be required due to differences in protocols and secondary/substrate sensitivity.

Immunogen

Amino acids 456-472 (HEKDGKAYCRKDYFDMF) were used as the immunogen for this Paxillin antibody (100% homologous in human, mouse and rat).

Storage

After reconstitution, the Paxillin antibody can be stored for up to one month at 4oC. For long-term, aliquot and store at -20oC. Avoid repeated freezing and thawing.

Cross
Bulk Quote Request Form
Name*:
Organization*:
Email*:
Phone Number*:
Catalog No.*:
Comments and Specifics(amount, formulation, etc.)*:
Validation code: Captchapackage Image


Can't read the image? click here to refresh.
    *required field

Your bulk quote request has been submitted successfully!

Please contact us if you have any questions.