• Tel: 858.663.9055
  • SeparatorEmail: info@nsjbio.com
  • Tel: 858.663.9055
  • Email: info@nsjbio.com
Home >> Antibodies >> PAX8 Antibody

PAX8 Antibody [clone PAX8/1492] (V3413)

  Catalog No Formulation Size Price (USD)  
Image V3413-100UG 0.2 mg/ml in 1X PBS with 0.1 mg/ml BSA (US sourced) and 0.05% sodium azide 100 ug 539
Image
V3413-20UG 0.2 mg/ml in 1X PBS with 0.1 mg/ml BSA (US sourced) and 0.05% sodium azide 20 ug 249
Image
V3413SAF-100UG 1 mg/ml in 1X PBS; BSA free, sodium azide free 100 ug 539
Bulk quote request
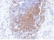
IHC testing of FFPE human thyroid carcinoma with PAX8 antibody (clone PAX8/1492). Required HIER: boil tissue sections in 10mM Tris buffer with 1mM EDTA, pH 9, for 10-20 min followed by cooling at RT for 20 minutes.
IHC testing of FFPE human urothelial carcinoma with PAX8 antibody (clone PAX8/1492). Required HIER: boil tissue sections in 10mM Tris buffer with 1mM EDTA, pH 9, for 10-20 min followed by cooling at RT for 20 minutes.
IHC testing of FFPE human renal cell carcinoma with PAX8 antibody (clone PAX8/1492). Required HIER: boil tissue sections in 10mM Tris buffer with 1mM EDTA, pH 9, for 10-20 min followed by cooling at RT for 20 minutes.
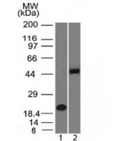
Western blot testing of 1) human partial recombinant protein and 2) human Raji cell lysate with PAX8 antibody (clone PAX8/1492). Predicted molecular weight of isoforms 1-5: 31, 35, 42, 43 and 48 kDa, respectively. PAX8 can also be observed at ~62 kDa.
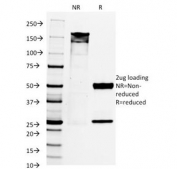
SDS-PAGE Analysis of Purified, BSA-Free PAX8 Antibody (clone PAX8/1492). Confirmation of Integrity and Purity of the Antibody.
Availability 1-3 business days
Species Reactivity Human
Format Purified
Clonality Monoclonal (mouse origin)
Isotype Mouse IgG2a, kappa
Clone Name PAX8/1492
Purity Protein G affinity chromatography
UniProt Q06710
Localization Nuclear, cytoplasmic
Applications Flow Cytometry : 0.5-1ug/10^6 cells
Immunofluorescence : 1-2ug/ml
Western Blot : 0.5-1ug/ml
Immunohistochemistry (FFPE) : 1-2ug/ml for 30 min at RT
Limitations This PAX8 antibody is available for research use only.
Review this product on BioCompare and get a $20 Amazon gift card

Related Products

Description

PAX8 is a member of the paired box (PAX) family of transcription factors. Members of this gene family typically encode proteins which contain a paired box domain, an octapeptide, and a paired-type homeodomain. The PAX gene family has an important role in the formation of tissues and organs during embryonic development and maintaining the normal function of some cells after birth. The PAX genes give instructions for making proteins that attach themselves to certain areas of DNA. This nuclear protein is involved in thyroid follicular cell development and expression of thyroid-specific genes. PAX8 releases the hormones important for regulating growth, brain development, and metabolism. Also functions in very early stages of kidney organogenesis, the müllerian system, and the thymus. Additionally, PAX8 is expressed in the renal excretory system, epithelial cells of the endocervix, endometrium, ovary, Fallopian tube, seminal vesicle, epididymis, pancreatic islet cells and lymphoid cells. PAX8 and other transcription factors play a role in binding to DNA and regulating the genes that drive thyroid hormone synthesis (Tg, TPO, Slc5a5 and Tshr).

PAX8 (and PAX2) is one of the important regulators of urogenital system morphogenesis. They play a role in the specification of the first renal cells of the embryo and remain essential players throughout development. [Wiki]

Application Notes

The stated application concentrations are suggested starting points. Titration of the PAX8 antibody may be required due to differences in protocols and secondary/substrate sensitivity.

Immunogen

A human recombinant fragment (aa 60-261) was used as the immunogen for the PAX8 antibody.

Storage

Store the PAX8 antibody at 2-8oC (with azide) or aliquot and store at -20oC or colder (without azide).

Cross
Bulk Quote Request Form
Name*:
Organization*:
Email*:
Phone Number*:
Catalog No.*:
Comments and Specifics(amount, formulation, etc.)*:
Validation code: Captchapackage Image


Can't read the image? click here to refresh.
    *required field

Your bulk quote request has been submitted successfully!

Please contact us if you have any questions.