• Tel: 858.663.9055
  • SeparatorEmail: info@nsjbio.com
  • Tel: 858.663.9055
  • Email: info@nsjbio.com
Home >> Antibodies >> PAX4 Antibody / Paired box 4

PAX4 Antibody / Paired box 4 [clone PAX4/7598] (V5216)

  Catalog No Formulation Size Price (USD)  
Image V5216-100UG 0.2 mg/ml in 1X PBS with 0.1 mg/ml BSA (US sourced), 0.05% sodium azide 100 ug 539
Image
V5216-20UG 0.2 mg/ml in 1X PBS with 0.1 mg/ml BSA (US sourced), 0.05% sodium azide 20 ug 249
Image
V5216SAF-100UG 1 mg/ml in 1X PBS; BSA free, sodium azide free 100 ug 539
Bulk quote request
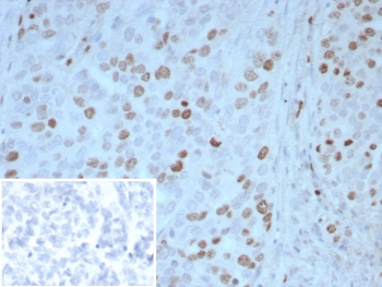
IHC staining of FFPE human ovarian carcinoma tissue with PAX4 antibody (clone PAX4/7598). Inset: PBS used in place of primary Ab (secondary Ab negative control). HIER: boil tissue sections in pH 9 10mM Tris with 1mM EDTA for 20 min and allow to cool before testing.
SDS-PAGE analysis of purified, BSA-free PAX4 antibody (clone PAX4/7598) as confirmation of integrity and purity.
Availability 1-3 business days
Species Reactivity Human
Format Purified
Clonality Monoclonal (mouse origin)
Isotype Mouse IgG1, kappa
Clone Name PAX4/7598
Purity Protein A/G affinity
UniProt O43316
Localization Nucleus
Applications Immunohistochemistry (FFPE) : 1-2ug/ml for 30 min at RT
Limitations This PAX4 antibody is available for research use only.
Review this product on BioCompare and get a $20 Amazon gift card

Related Products

  • Applications : ELISA
    Reactivity : Human
  • Applications : IHC-P
    Reactivity : Human
  • Applications : WB, IHC, FACS, ELISA
    Reactivity : Human, Rat
    Pred. Reactivity : Mouse
  • Applications : WB, ELISA (peptide), EIA
    Reactivity : Human, Mouse
    Pred. Reactivity : Dog, Rat
  • Applications : WB, FACS, Direct ELISA
    Reactivity : Human, Mouse, Rat

Description

Pax-4 (paired box gene 4) protein influences normal differentiation of Insulinproducing beta cells and influences normal pancreatic islet development. Pax-4 protein is a transcriptional repressor that binds to a common cis element in the Glucagon, Insulin and Somatostatin promoters. Mouse Pax-4 transcript is present in pancreatic islets, and the islet beta cell lines MIN6, beta TC and NIT1. Differentiation of endoderm-derived endocrine pancreas is mediated through Pax-4 and Pax-6. Pax-4 may act as a Pax-6 repressor due to the competition for binding sites and lower transactivation potential of Pax-4. The human Pax-4 gene encodes a deduced 350 amino acid protein that is 80% identical to the deduced mouse Pax-4 protein.

Application Notes

Optimal dilution of the PAX4 antibody should be determined by the researcher.

Immunogen

A recombinant partial protein sequence (within amino acids 1-200) from the human protein was used as the immunogen for the PAX4 antibody.

Storage

Aliquot the PAX4 antibody and store frozen at -20oC or colder. Avoid repeated freeze-thaw cycles.

Cross
Bulk Quote Request Form
Name*:
Organization*:
Email*:
Phone Number*:
Catalog No.*:
Comments and Specifics(amount, formulation, etc.)*:
Validation code: Captchapackage Image


Can't read the image? click here to refresh.
    *required field

Your bulk quote request has been submitted successfully!

Please contact us if you have any questions.