• Tel: 858.663.9055
  • SeparatorEmail: info@nsjbio.com
  • Tel: 858.663.9055
  • Email: info@nsjbio.com
Home >> Antibodies >> Parvalbumin Antibody / PVALB

Parvalbumin Antibody / PVALB [clone PVALB/7601] (V4864)

  Catalog No Formulation Size Price (USD)  
Image V4864-100UG 0.2 mg/ml in 1X PBS with 0.1 mg/ml BSA (US sourced), 0.05% sodium azide 100 ug 539
Image
V4864-20UG 0.2 mg/ml in 1X PBS with 0.1 mg/ml BSA (US sourced), 0.05% sodium azide 20 ug 249
Image
V4864SAF-100UG 1 mg/ml in 1X PBS; BSA free, sodium azide free 100 ug 539
Bulk quote request
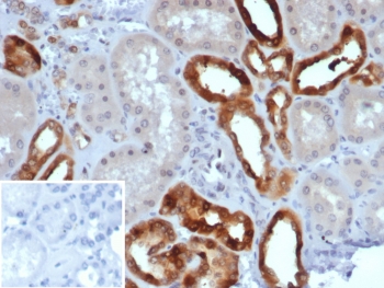
IHC staining of FFPE human kidney tissue with PVALB antibody (clone PVALB/7601). Inset: PBS used in place of primary Ab (secondary Ab negative control). HIER: boil tissue sections in pH 9 10mM Tris with 1mM EDTA for 20 min and allow to cool before testing.
SDS-PAGE analysis of purified, BSA-free PVALB antibody (clone PVALB/7601) as confirmation of integrity and purity.
Availability 1-3 business days
Species Reactivity Human
Format Purified
Clonality Monoclonal (mouse origin)
Isotype Mouse IgG1, kappa
Clone Name PVALB/7601
Purity Protein A/G affinity
UniProt P20472
Localization Nucleus, Cytoplasm, Cell junctions
Applications Immunohistochemistry (FFPE) : 1-2ug/ml for 30 min at RT
Limitations This Parvalbumin antibody is available for research use only.
Review this product on BioCompare and get a $20 Amazon gift card

Related Products

Description

The family of EF-hand type Ca2+-binding proteins includes calbindin (previously designated vitamin D-dependent Ca2+-binding protein), S-100Alpha and beta, calgranulins A (also designated MRP8), B (also designated MRP14) and C (S-100 like proteins) and the parvalbumin family members, including parvalbumin Alpha and parvalbumin beta, also designated oncomodulin (OCM). Structurally and evolutionarily conserved, parvalbumin Alpha and OCM proteins are distinct in expression and function. Parvalbumin Alpha, also designated parvalbumin (PV), is most abundantly expressed in fast-contracting muscles with lower expression levels in brain and some endocrine tissues, including kidney and parathyroid. Research indicates that parvalbumin Alpha plays a significant role in muscle relaxation. OCM was originally thought to have expression restricted to neoplastic tissues, early embryonic cells and certain tumor cell lines. Recent research shows that OCM is also expressed and secreted by macrophages where, in the retina it binds to retinal ganglion cells (RGCs) and functions to promote axon regeneration. OCM has also been detected in the auditory sensory cells of the organ of Corti in mammals. In humans, two different loci on chromosome 7 have been identified as OCM and OCM-like (LOC4951). These genes encode proteins 109 amino acids in length which share 99% sequence identity.

Application Notes

Optimal dilution of the Parvalbumin antibody should be determined by the researcher.

Immunogen

A recombinant partial protein sequence (within amino acids 1-110) from the human protein was used as the immunogen for the Parvalbumin antibody.

Storage

Aliquot the Parvalbumin antibody and store frozen at -20oC or colder. Avoid repeated freeze-thaw cycles.

Cross
Bulk Quote Request Form
Name*:
Organization*:
Email*:
Phone Number*:
Catalog No.*:
Comments and Specifics(amount, formulation, etc.)*:
Validation code: Captchapackage Image


Can't read the image? click here to refresh.
    *required field

Your bulk quote request has been submitted successfully!

Please contact us if you have any questions.