• Tel: 858.663.9055
  • SeparatorEmail: info@nsjbio.com
  • Tel: 858.663.9055
  • Email: info@nsjbio.com
Home >> Antibodies >> PARP1 Antibody / Poly ADP-ribose polymerase 1

PARP1 Antibody / Poly ADP-ribose polymerase 1 (FY13012)

  Catalog No Formulation Size Price (USD)  
Image FY13012 Adding 0.2 ml of distilled water will yield a concentration of 500 ug/ml 100 ug 439
Bulk quote request
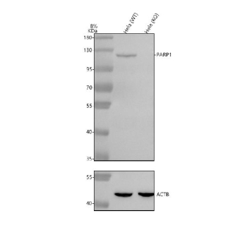
Western blot analysis of PARP1 using anti-PARP1 antibody. Electrophoresis was performed on a 8% SDS-PAGE gel at 80V (Stacking gel) / 120V (Resolving gel) for 2 hours. Lane 1: human Hela- WT whole cell lysates, Lane 2: human Hela-PARP1 KO whole cell lysates. After electrophoresis, proteins were transferred to a nitrocellulose membrane at 150 mA for 50-90 minutes. Blocked the membrane with 5% non-fat milk/TBS for 1.5 hour at RT. Then the membrane was incubated with rabbit anti-PARP1 antibody at 0.5 ug/ml overnight at 4oC, then washed with TBS-0.1%Tween 3 times with 5 minutes each and probed with a goat anti-rabbit IgG-HRP secondary antibody at a dilution of 1:5000 for 1.5 hour at RT. The signal was developed using an ECL Plus Western Blotting Substrate. A specific band was detected for PARP1 at approximately 113 kDa. The expected molecular weight of PARP1 is ~113 kDa.
Western blot analysis of PARP1 using anti-PARP1 antibody. Lane 1: human Jurkat whole cell lysates, Lane 2: human K562 whole cell lysates, Lane 3: human whole cell lysates, Lane 4: human Hela whole cell lysates. After electrophoresis, proteins were transferred to a nitrocellulose membrane at 150 mA for 50-90 minutes. Blocked the membrane with 5% non-fat milk/TBS for 1.5 hour at RT. The membrane was incubated with rabbit anti-PARP1 antibody at 0.5 ug/ml overnight at 4oC, then washed with TBS-0.1%Tween 3 times with 5 minutes each and probed with a goat anti-rabbit IgG-HRP secondary antibody at a dilution of 1:5000 for 1.5 hour at RT. The signal was developed using enhanced chemiluminescent. A specific band was detected for PARP1 at approximately 113 kDa. The expected molecular weight of PARP1 is ~113 kDa.
Immunofluorescent staining of PARP1 using anti-PARP1 antibody (green) and anti-Beta Tubulin antibody (red). PARP1 was detected in immunocytochemical section of U2OS cell. Enzyme antigen retrieval was performed using IHC enzyme antigen retrieval reagent for 15 mins. The cells were blocked with 10% goat serum. And then incubated with 5 ug/ml rabbit anti-PARP1 antibody and mouse anti-Beta Tubulin antibody overnight at 4oC. DyLight 488 Conjugated Goat Anti-Rabbit IgG and Cy3 Conjugated Goat Anti-Mouse IgG were used as secondary antibody at 1:500 dilution and incubated for 30 minutes at 37oC. Visualize using a fluorescence microscope and filter sets appropriate for the label used.
Flow Cytometry analysis of JK cells using anti-PARP1 antibody. Overlay histogram showing JK cells stained with (Blue line). To facilitate intracellular staining, cells were fixed with 4% paraformaldehyde and permeabilized with permeabilization buffer. The cells were blocked with 10% normal goat serum. And then incubated with rabbit anti-PARP1 antibody (1 ug/million cells) for 30 min at 20oC. DyLight 488 conjugated goat anti-rabbit IgG (5-10 ug/million cells) was used as secondary antibody for 30 minutes at 20oC. Isotype control antibody (Green line) was rabbit IgG (1 ug/million cells) used under the same conditions. Unlabelled sample (Red line) was also used as a control.
Availability 1-2 days
Species Reactivity Human
Format Lyophilized
Clonality Polyclonal (rabbit origin)
Isotype Rabbit IgG
Purity Immunogen affinity purified
Buffer Each vial contains 4 mg Trehalose, 0.9 mg NaCl, 0.2 mg Na2HPO4.
UniProt P09874
Applications Western Blot : 0.25-0.5ug/ml
Immunocytochemistry : 5ug/ml
Immunofluorescence : 5ug/ml
Flow Cytometry : 1-3ug/million cells
ELISA : 0.1-0.5ug/ml
Limitations This PARP1 antibody is available for research use only.
Review this product on BioCompare and get a $20 Amazon gift card

Related Products

  • Applications : WB
    Reactivity : Human
    Rab Mono Image
  • Applications : WB
    Reactivity : Human
    Rab Mono Image
  • Applications : WB, IHC-P, IF, FACS
    Reactivity : Human, Mouse, Rat
  • Applications : WB, IHC-P, IF, FACS
    Reactivity : Human, Mouse, Rat
  • Applications : WB, IHC-P, IF, FACS
    Reactivity : Human, Mouse, Rat
  • Applications : WB, IHC-P, ICC, IF, FACS
    Reactivity : Human, Mouse, Rat
  • Applications : WB, ELISA
    Reactivity : Human
    Pred. Reactivity : Mouse
  • Applications : WB, ELISA
    Reactivity : Human
    Pred. Reactivity : Bovine
  • Applications : WB, FACS, ELISA
    Reactivity : Human
    Pred. Reactivity : Mouse

Description

PARP1 antibody detects Poly [ADP-ribose] polymerase 1, a nuclear enzyme essential for DNA repair, chromatin remodeling, and transcriptional regulation. The UniProt recommended name is Poly [ADP-ribose] polymerase 1 (PARP1). This enzyme catalyzes the poly-ADP-ribosylation of nuclear proteins in response to DNA strand breaks, recruiting DNA repair machinery and maintaining genomic integrity. PARP1 plays a dual role as both a DNA damage sensor and a regulator of chromatin structure.

Functionally, PARP1 antibody identifies a 1014-amino-acid nuclear protein containing three zinc-finger DNA-binding domains, a BRCT motif, and a catalytic PARP domain. Upon binding to damaged DNA, PARP1 catalyzes the transfer of ADP-ribose units from NAD+ to target proteins, forming long poly-ADP-ribose (PAR) chains. These modifications facilitate the recruitment of DNA repair factors such as XRCC1, DNA ligase III, and DNA polymerase beta. PARP1 activity is a key step in the base excision repair (BER) pathway, ensuring timely resolution of single-strand breaks.

The PARP1 gene is located on chromosome 1q42.12 and is ubiquitously expressed in proliferative and differentiated tissues. It modulates chromatin relaxation by poly-ADP-ribosylating histones, thereby granting access to repair and transcriptional complexes. Beyond DNA repair, PARP1 regulates transcription by interacting with nuclear receptors and chromatin modifiers, influencing inflammation, cell cycle, and apoptosis. PARP1 activity is tightly regulated by DNA damage signals and cellular NAD+ levels.

In apoptosis, excessive PARP1 activation during oxidative or genotoxic stress leads to NAD+ and ATP depletion, contributing to programmed necrosis (parthanatos). PARP inhibitors, such as olaparib and niraparib, target PARP1 enzymatic activity to enhance the cytotoxicity of DNA-damaging agents, forming the basis for synthetic lethality in BRCA-deficient cancers. Overactivation or dysregulation of PARP1 has been linked to neurodegeneration, ischemic injury, and cancer progression.

PARP1 antibody is widely used in molecular biology, oncology, and DNA repair research. It is suitable for western blotting, immunohistochemistry, and chromatin immunoprecipitation to detect endogenous or modified PARP1. This antibody supports studies of DNA repair, PARP inhibitor mechanisms, and nuclear signaling pathways. In cancer models, PARP1 detection is crucial for assessing DNA damage response and drug sensitivity.

Structurally, PARP1 contains DNA-binding zinc fingers, a WGR domain involved in DNA interaction, and a catalytic domain responsible for NAD+ hydrolysis and ADP-ribose polymerization. Its activity is regulated through automodification, phosphorylation, and proteolytic cleavage during apoptosis. NSJ Bioreagents provides PARP1 antibody reagents validated for use in DNA repair, apoptosis, and chromatin research.

Application Notes

Optimal dilution of the PARP1 antibody should be determined by the researcher.

Immunogen

E.coli-derived human PARP1 recombinant protein (Position: D6-R841) was used as the immunogen for the PARP1 antibody.

Storage

After reconstitution, the PARP1 antibody can be stored for up to one month at 4oC. For long-term, aliquot and store at -20oC. Avoid repeated freezing and thawing.

Cross
Bulk Quote Request Form
Name*:
Organization*:
Email*:
Phone Number*:
Catalog No.*:
Comments and Specifics(amount, formulation, etc.)*:
Validation code: Captchapackage Image


Can't read the image? click here to refresh.
    *required field

Your bulk quote request has been submitted successfully!

Please contact us if you have any questions.