- Tel: 858.663.9055
-
Email: info@nsjbio.com
- Tel: 858.663.9055
- Email: info@nsjbio.com
Related Products
|
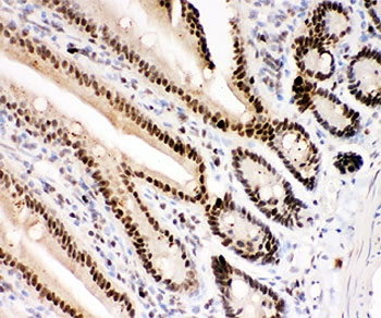
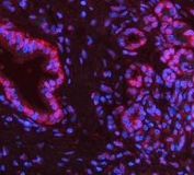
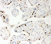
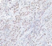
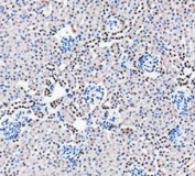
Poly [ADP-ribose] polymerase 1 is composed of four domains: a DNA-binding domain, a caspase-cleaved domain, an auto-modification domain, and a catalytic domain. In vivo, PARP is cleaved by caspases -3 and -7 between aspartic acid 214 and glycine 215, resulting in a 24KD subunit (containing the DNA binding zinc finger motif) and a 89KD subunit (containing the catalytic and auto-modification domains).
PARP is an enzyme that modifies nuclear proteins. The modification is dependent on DNA and is involved in the regulation of various important cellular processes such as differentiation, proliferation, and tumor transformation and also in the regulation of the molecular events involved in the recovery of cell from DNA damage.
The stated application concentrations are suggested starting points. Titration of the PARP antibody may be required due to differences in protocols and secondary/substrate sensitivity.
Human partial recombinant protein (AA 670-858) was used as the immunogen for this PARP antibody.
After reconstitution, the PARP antibody can be stored for up to one month at 4oC. For long-term, aliquot and store at -20oC. Avoid repeated freezing and thawing.
Your bulk quote request has been submitted successfully!
Please contact us if you have any questions.