• Tel: 858.663.9055
  • SeparatorEmail: info@nsjbio.com
  • Tel: 858.663.9055
  • Email: info@nsjbio.com
Home >> Antibodies >> Parkin Antibody / PARK2

Parkin Antibody / PARK2 (F49620)

  Catalog No Formulation Size Price (USD)  
Image F49620-0.4ML In 1X PBS, pH 7.4, with 0.09% sodium azide 0.4 ml 429
Image
F49620-0.08ML In 1X PBS, pH 7.4, with 0.09% sodium azide 0.08 ml 199
Bulk quote request
Western blot analysis of lysate from (1) SH-SY5Y cell line and (2) human brain tissue lysate using Parkin antibody at 1:1000. Expected molecular weight: 50-60 kDa with multiple smaller isoforms.
Parkin antibody flow cytometric analysis of NCI-H460 cells (right histogram) compared to a negative control (left histogram). FITC-conjugated goat-anti-rabbit secondary Ab was used for the analysis.
Confocal immunofluorescent analysis of Parkin antibody with NCI-H460 cells followed by Alexa Fluor 488-conjugated goat anti-rabbit lgG (green). Actin filaments have been labeled with Alexa Fluor 555 Phalloidin (red). DAPI was used as a nuclear counterstain (blue).
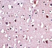
Parkin antibody immunohistochemistry analysis in formalin fixed and paraffin embedded human brain tissue.
Availability 1-3 business days
Species Reactivity Human
Format Antigen affinity purified
Clonality Polyclonal (rabbit origin)
Isotype Rabbit Ig
Purity Antigen affinity
UniProt O60260
Applications Western Blot : 1:250-1:1000
Flow Cytometry : 1:10-1:50
Immunofluorescence : 1:10-1:50
IHC (Paraffin) : 1:10-1:50
Limitations This Parkin antibody is available for research use only.
Review this product on BioCompare and get a $20 Amazon gift card

Related Products

Description

Parkinson is the second most common neurodegenerative disease after Alzheimers. About 1 percent of people over the age of 65 and 3 percent of people over the age of 75 are affected by the disease. The mutation is the most common cause of Parkinson disease identified to date. The function of Park2 is not well-known; however, it may play a role in the ubiquitin-mediated proteolytic pathway. Mutations in this gene are known to cause autosomal recessive juvenile parkinsonism. Alternative splicing of this gene produces three known products of undetermined function.

Application Notes

Titration of the Parkin antibody may be required due to differences in protocols and secondary/substrate sensitivity.

Immunogen

A portion of amino acids 111-140 from the human protein was used as the immunogen for this Parkin antibody.

Storage

Aliquot the Parkin antibody and store frozen at -20oC or colder. Avoid repeated freeze-thaw cycles.

Cross
Bulk Quote Request Form
Name*:
Organization*:
Email*:
Phone Number*:
Catalog No.*:
Comments and Specifics(amount, formulation, etc.)*:
Validation code: Captchapackage Image


Can't read the image? click here to refresh.
    *required field

Your bulk quote request has been submitted successfully!

Please contact us if you have any questions.