• Tel: 858.663.9055
  • SeparatorEmail: info@nsjbio.com
  • Tel: 858.663.9055
  • Email: info@nsjbio.com
Home >> Antibodies >> Park7 Antibody / DJ-1

Park7 Antibody / DJ-1 (R32861)

  Catalog No Formulation Size Price (USD)  
Image R32861 0.5mg/ml if reconstituted with 0.2ml sterile DI water 100 ug 439
Bulk quote request
Western blot testing of rat 1) pancreas, 2) kidney, 3) skeletal muscle, 4) liver, 5) testis, 6) heart, 7) mouse kidney and 8) mouse skeletal muscle lysate with Park7 antibody at 0.5ug/ml. Predicted molecular weight ~20 kDa.
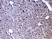
IHC testing of FFPE rat liver tissue with Park7 antibody at 1ug/ml. Required HIER: steam section in pH6 citrate buffer for 20 min and allow to cool prior to testing.
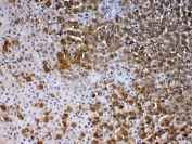
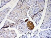
IHC testing of FFPE rat pancreas tissue with Park7 antibody at 1ug/ml. Required HIER: steam section in pH6 citrate buffer for 20 min and allow to cool prior to testing.
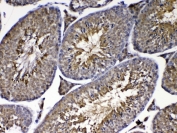
IHC testing of FFPE rat testis tissue with Park7 antibody at 1ug/ml. Required HIER: steam section in pH6 citrate buffer for 20 min and allow to cool prior to testing.
IHC testing of FFPE mouse liver tissue with Park7 antibody at 1ug/ml. Required HIER: steam section in pH6 citrate buffer for 20 min and allow to cool prior to testing.
IHC testing of FFPE mouse pancreas tissue with Park7 antibody at 1ug/ml. Required HIER: steam section in pH6 citrate buffer for 20 min and allow to cool prior to testing.
IHC testing of FFPE mouse testis tissue with Park7 antibody at 1ug/ml. Required HIER: steam section in pH6 citrate buffer for 20 min and allow to cool prior to testing.
Availability 1-3 business days
Species Reactivity Rat, Mouse
Format Antigen affinity purified
Clonality Polyclonal (rabbit origin)
Isotype Rabbit IgG
Purity Antigen affinity
Buffer Lyophilized from 1X PBS with 2.5% BSA, 0.025% sodium azide
UniProt O88767
Localization Cytoplasmic, nuclear
Applications Western Blot : 0.5-1ug/ml
IHC (FFPE) : 1-2ug/ml ELISA (Capture; recombinant rat protein)
Limitations This Park7 antibody is available for research use only.
Review this product on BioCompare and get a $20 Amazon gift card

Related Products

  • Applications : WB, IHC-P, IF, FACS
    Reactivity : Human
  • Applications : WB, IHC-P, IF, IP
    Reactivity : Human, Mouse, Rat
  • Applications : WB, IF, ELISA
    Reactivity : Human, Mouse
    Pred. Reactivity : Bovine, Zebrafish
    Citation  Citations(1)
  • Applications : WB, IF/ICC, ELISA (peptide)
    Reactivity : Human, Mouse, Rat
  • Applications : WB, ELISA (peptide)
    Reactivity : Human, Mouse, Rat
  • Applications : WB
    Reactivity : Zebrafish

Description

Parkinson disease (autosomal recessive, early onset) 7, also known as DJ1, is a protein which in humans is encoded by the PARK7 gene. PARK7 belongs to the peptidase C56 family of proteins. PARK7 is mapped to chromosome 1p36. It acts as a positive regulator of androgen receptor-dependent transcription. It is also involved in tumorigenesis and in maintaining mitochondrial homeostasis. This gene may also function as a redox-sensitive chaperone, as a sensor foroxidative stress, and it apparently protects neurons against oxidative stress and cell death. It has been found that PARK7 mutations that impair transcriptional coactivator function can render dopaminergic neurons vulnerable to apoptosis and may contribute to the pathogenesis of Parkinson disease.

Application Notes

Optimal dilution of the Park7 antibody should be determined by the researcher.

Immunogen

A recombinant rat protein corresponding to amino acids A2-D189 was used as the immunogen for the Park7 antibody.

Storage

After reconstitution, the Park7 antibody can be stored for up to one month at 4oC. For long-term, aliquot and store at -20oC. Avoid repeated freezing and thawing.

Cross
Bulk Quote Request Form
Name*:
Organization*:
Email*:
Phone Number*:
Catalog No.*:
Comments and Specifics(amount, formulation, etc.)*:
Validation code: Captchapackage Image


Can't read the image? click here to refresh.
    *required field

Your bulk quote request has been submitted successfully!

Please contact us if you have any questions.