• Tel: 858.663.9055
  • SeparatorEmail: info@nsjbio.com
  • Tel: 858.663.9055
  • Email: info@nsjbio.com
Home >> Antibodies >> Parathyroid Hormone Antibody

Parathyroid Hormone Antibody [clone PRTM1-3] (V7126)

  Catalog No Formulation Size Price (USD)  
Image V7126-100UG 0.2 mg/ml in 1X PBS with 0.1 mg/ml BSA (US sourced) and 0.05% sodium azide 100 ug 539
Image
V7126-20UG 0.2 mg/ml in 1X PBS with 0.1 mg/ml BSA (US sourced) and 0.05% sodium azide 20 ug 249
Image
V7126SAF-100UG 1 mg/ml in 1X PBS; BSA free, sodium azide free 100 ug 539
Image
V7126IHC-7ML Prediluted in 1X PBS with 0.1 mg/ml BSA (US sourced) and 0.05% sodium azide; *For IHC use only* 7 ml 539
Bulk quote request
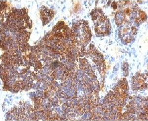
IHC testing of FFPE human parathyroid with Parathyroid Hormone antibody (clone PRTM1-3). FFPE testing requires sections to be boiled in pH 9 10mM Tris with 1mM EDTA for 10-20 minutes, followed by cooling at RT for 20 minutes, prior to staining.
Availability 1-3 business days
Species Reactivity Human
Format Purified
Clonality Monoclonal (mouse origin)
Isotype Mouse IgG2b, kappa
Clone Name PRTM1-3
Purity Protein G affinity chromatography
UniProt P01270
Localization Cytoplasmic and secreted
Applications Immunohistochemistry (FFPE) : 1-2ug/ml for 30 min at RT
Prediluted IHC Only Format : incubate for 30 min at RT (1)
Limitations This Parathyroid Hormone antibody is available for research use only.
Review this product on BioCompare and get a $20 Amazon gift card

Related Products

Description

Parathyroid hormone (PTH), parathormone or parathyrin, is secreted by the chief cells of the parathyroid glands as a polypeptide containing 84 amino acids, yet effective hormone-receptor interaction requires solely the 34-N-terminal amino acids. While PTH acts to increase the concentration of ionic calcium (Ca2+) in the blood, calcitonin, a hormone produced by the parafollicular cells (C cells) of the thyroid gland, acts to decrease ionic calcium concentration. PTH essentially acts to increase the concentration of calcium in the blood by acting upon the parathyroid hormone 1 receptor, which is present at high levels in bone and kidney, and the parathyroid hormone 2 receptor, which is present at high levels in the central nervous system, pancreas, testis, and placenta. [Wiki]

Application Notes

Titering of the Parathyroid Hormone antibody may be required for optimal performance.

1. The prediluted format is supplied in a dropper bottle and is optimized for use in IHC. After epitope retrieval step (if required), drip mAb solution onto the tissue section and incubate at RT for 30 min.

Immunogen

A C-terminal partial recombinant protein from the human protein was used as the immunogen for the Parathyroid Hormone antibody.

Storage

Store the Parathyroid Hormone antibody at 2-8oC (with azide) or aliquot and store at -20oC or colder (without azide).

Cross
Bulk Quote Request Form
Name*:
Organization*:
Email*:
Phone Number*:
Catalog No.*:
Comments and Specifics(amount, formulation, etc.)*:
Validation code: Captchapackage Image


Can't read the image? click here to refresh.
    *required field

Your bulk quote request has been submitted successfully!

Please contact us if you have any questions.