• Tel: 858.663.9055
  • SeparatorEmail: info@nsjbio.com
  • Tel: 858.663.9055
  • Email: info@nsjbio.com
Home >> Antibodies >> Parathyroid Hormone Antibody / C-Terminal

Parathyroid Hormone Antibody / C-Terminal [clone PTH/1173] (V2809)

  Catalog No Formulation Size Price (USD)  
Image V2809-100UG 0.2 mg/ml in 1X PBS with 0.1 mg/ml BSA (US sourced) and 0.05% sodium azide 100 ug 539
Image
V2809-20UG 0.2 mg/ml in 1X PBS with 0.1 mg/ml BSA (US sourced) and 0.05% sodium azide 20 ug 249
Image
V2809SAF-100UG 1 mg/ml in 1X PBS; BSA free, sodium azide free 100 ug 539
Image
V2809IHC-7ML Prediluted in 1X PBS with 0.1 mg/ml BSA (US sourced) and 0.05% sodium azide; *For IHC use only* 7 ml 539
Bulk quote request
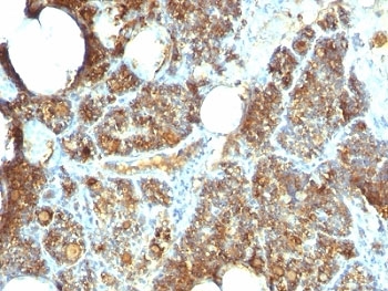
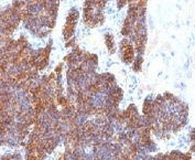
IHC: Formalin-fixed, paraffin-embedded human parathyroid stained with Parathyroid Hormone antibody (clone PTH/1173).
IHC: Formalin-fixed, paraffin-embedded human parathyroid stained with Parathyroid Hormone antibody (clone PTH/1173).
SDS-PAGE Analysis of Purified, BSA-Free Parathyroid Hormone Antibody (clone PTH/1173). Confirmation of Integrity and Purity of the Antibody.
Availability 1-3 business days
Species Reactivity Human
Format Purified
Clonality Monoclonal (mouse origin)
Isotype Mouse IgG2b, kappa
Clone Name PTH/1173
Purity Protein G affinity chromatography
UniProt P01270
Localization Cytoplasmic and secreted
Applications Immunohistochemistry (FFPE) : 1-2ug/ml for 30 min at RT (1) (2)
Limitations This Parathyroid Hormone antibody is available for research use only.
Review this product on BioCompare and get a $20 Amazon gift card

Related Products

Description

Epitope of this mAb maps in the C-terminus of PTH, a hormone produced by the parathyroid gland that regulates the concentration of calcium and phosphorus in extracellular fluid. This hormone elevates blood Ca2+ levels by dissolving the salts in bone and preventing their renal excretion. It is produced in the parathyroid gland as an 84 amino acid single chain polypeptide. It can also be secreted as N-terminal truncated fragments or C-terminal fragments after intracellular degradation, as in case of hypercalcemia. Defects in this gene are a cause of familial isolated hypoparathyroidism (FIH); also called autosomal dominant hypoparathyroidism or autosomal dominant hypocalcemia. FIH is characterized by hypocalcemia and hyperphosphatemia due to inadequate secretion of parathyroid hormone. Symptoms are seizures, tetany and cramps. FIH exist both as autosomal dominant and recessive forms of hypoparathyroidism.

Application Notes

Optimal dilution of the Parathyroid Hormone antibody should be determined by the researcher.

1. Staining of formalin-fixed tissues requires boiling tissue sections in pH 9 10mM Tris with 1mM EDTA for 10-20 min followed by cooling at RT for 20 min.
2. The prediluted format is supplied in a dropper bottle and is optimized for use in IHC. After epitope retrieval step (if required), drip mAb solution onto the tissue section and incubate at RT for 30 min.

Immunogen

Amino acids 32-115 of human PTH was used as the immunogen for the Parathyroid Hormone antibody.

Storage

Store the Parathyroid Hormone antibody at 2-8oC (with azide) or aliquot and store at -20oC or colder (without azide).

Cross
Bulk Quote Request Form
Name*:
Organization*:
Email*:
Phone Number*:
Catalog No.*:
Comments and Specifics(amount, formulation, etc.)*:
Validation code: Captchapackage Image


Can't read the image? click here to refresh.
    *required field

Your bulk quote request has been submitted successfully!

Please contact us if you have any questions.